Why people with obvious skeletal Class 2/3 have it easier in life. (HOT TAKE)

Adee

Adee

.gg/hardmax
Joined
Oct 8, 2025
Posts
1,825
Reputation
8,639
Why people born with obvious skeletal CLASS 2 or CLASS 3 often have it easier than the average looking person?
( LOOKS & HEALTH WISE )

People diagnosed with clear class 2 or class 3 almost always qualify for coverage or reimbursement through their insurance or national healthcare system - whatever there is in their country, some still go private - doesn’t matter.
In the vast majority of cases, post op, they will end up with nearly perfect jaw proportions.


while:
Normal/average people - or those with mild class 2 or class 3 that were most likely previously camouflaged with braces often times end up looking like shit, just shit with asymmetries and jaws that are not fully aligned, very unpleasing.

+ breathing/airway aspect
"Obvious" class 2 or class 3 often end up with ideal airways after surgery, which improves breathing significantly.
Gives you an airway that the average person can only dream of.
1768332252022


For example:
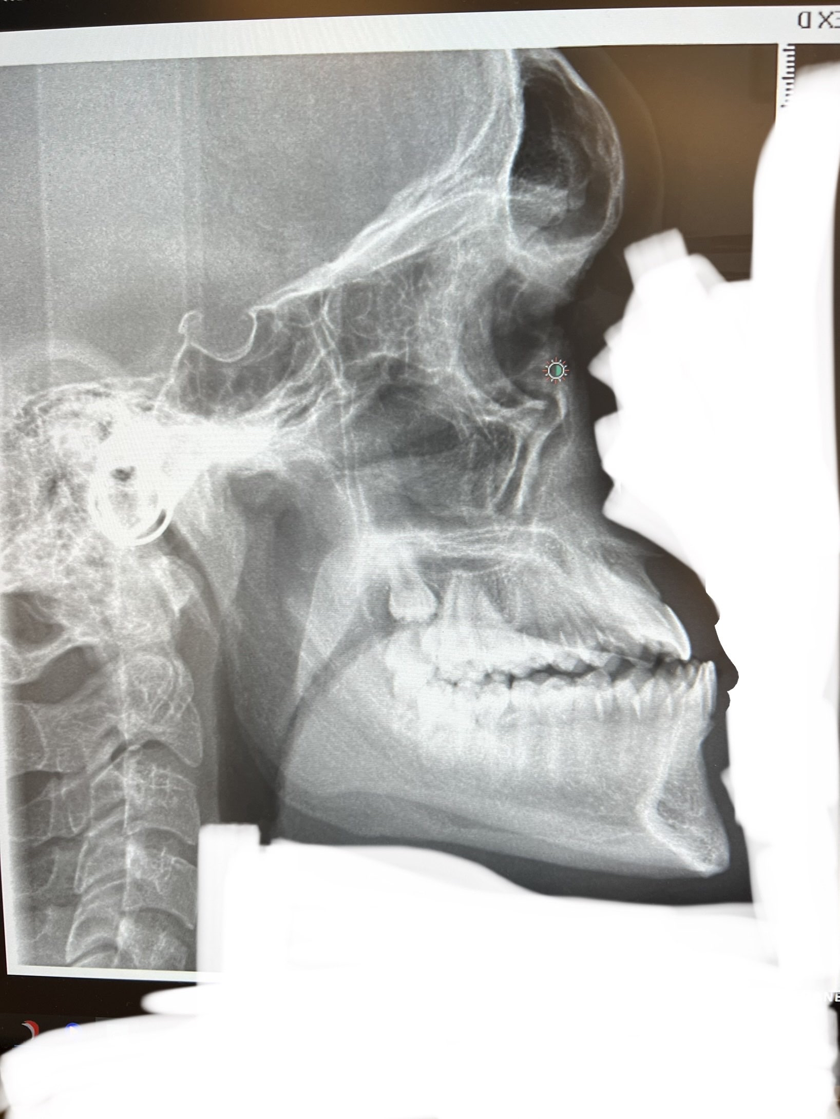
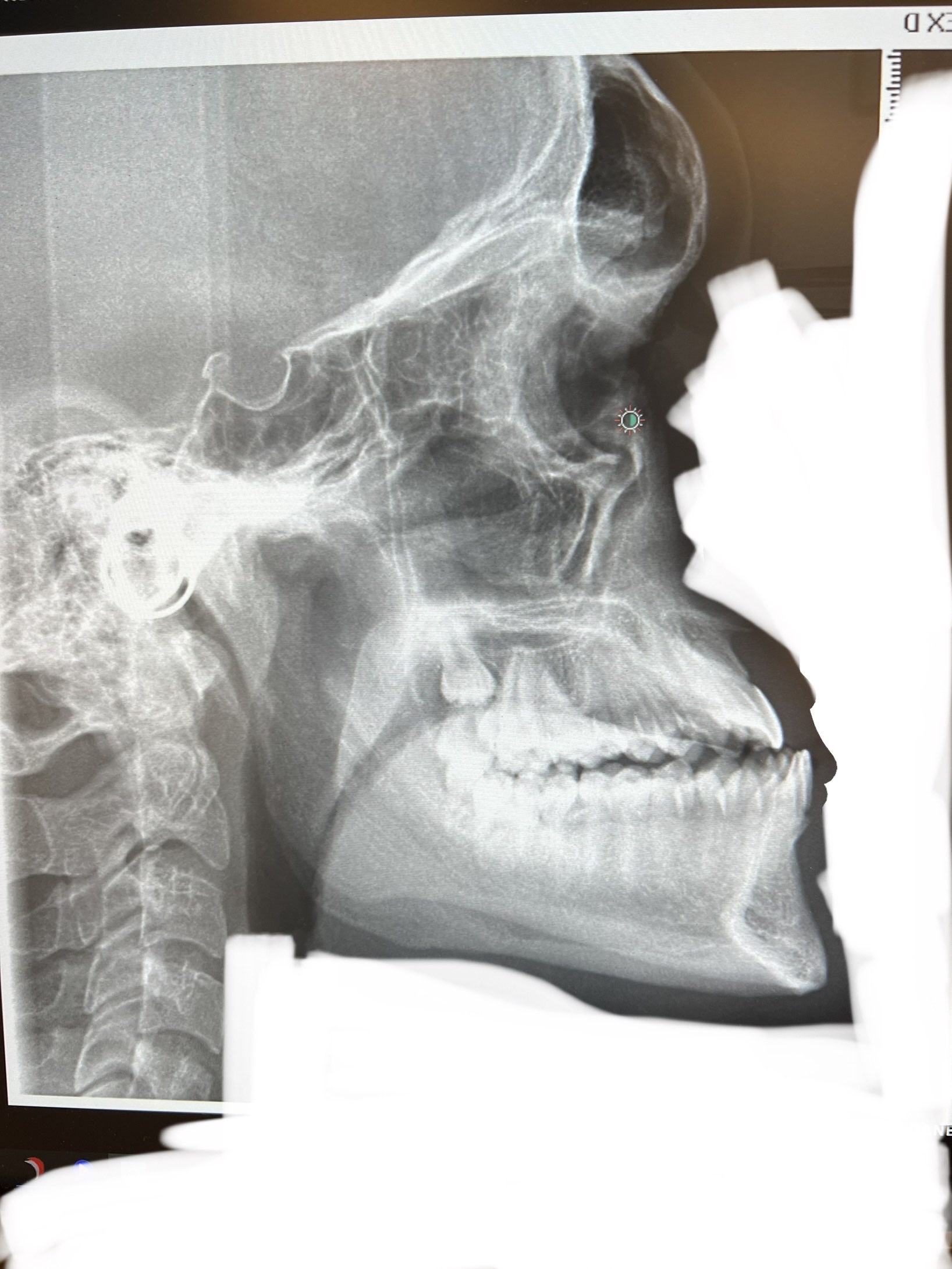
This person with a textbook class 3 and an exceptionally wide airway (probably around 3 times larger than average), could undergo DJS with significant maxillary movement and end up mogging while still preserving their airway size.
1768331750927



Meanwhile:
Person with a mild, camouflaged Class 2, who doesn’t medically need surgery, is unlikely to get funding or approval from 99% of surgeons.
1768332087583



Thanks for reading.
 
  • +1
Reactions: Sukavelli, alexias, Porkjohn888 and 16 others
@hej1377 @Knight @MouthBreathingElite @wuzzdio @DrOverBite
 
  • +1
  • Love it
Reactions: Sukavelli, alexias, DrOverBite and 11 others
@Histy @Orka @gio729 @FlotPSL @Finnishmogger
 
  • +1
Reactions: Sukavelli, alexias, Atra and 10 others
b
 
  • +1
  • Love it
Reactions: Sukavelli, alexias, FlotPSL and 5 others
@atra @mrnut @polonaecel @Fridx @Volksstaffel
 
  • +1
Reactions: Sukavelli, alexias, Wuzzdio and 8 others
Why people born with obvious skeletal CLASS 2 or CLASS 3 often have it easier than the average looking person?
( LOOKS & HEALTH WISE )


People diagnosed with clear class 2 or class 3 almost always qualify for coverage or reimbursement through their insurance or national healthcare system - whatever there is in their country, some still go private - doesn’t matter.
In the vast majority of cases, post op, they will end up with nearly perfect jaw proportions.


while:
Normal/average people - or those with mild class 2 or class 3 that were most likely previously camouflaged with braces often times end up looking like shit, just shit with asymmetries and jaws that are not fully aligned, very unpleasing.

+ breathing/airway aspect
"Obvious" class 2 or class 3 often end up with ideal airways after surgery, which improves breathing significantly.
Gives you an airway that the average person can only dream of.
View attachment 4536053


For example:
This person with a textbook class 3 and an exceptionally wide airway (probably around 3 times larger than average), could undergo DJS with significant maxillary movement and end up mogging while still preserving their airway size.
View attachment 4536030


Meanwhile:
Person with a mild, camouflaged Class 2, who doesn’t medically need surgery, is unlikely to get funding or approval from 99% of surgeons.
View attachment 4536047


Thanks for reading.
Real

Good theory
 
  • +1
  • Love it
Reactions: Sukavelli, alexias, Deleted member 280441 and 6 others
Bump
:Elmo: :Elmo: :Elmo: :Elmo: :Elmo: :Elmo: :Elmo: :Elmo: :Elmo: :Elmo: :Elmo: :Elmo: :Elmo: :Elmo: :Elmo: :Elmo: :Elmo: :Elmo: :Elmo:
 
  • +1
  • Love it
Reactions: Sukavelli, alexias, Deleted member 280441 and 6 others
Bump
 
  • +1
Reactions: Sukavelli, alexias, FlotPSL and 6 others
Good theory, I mean it makes sense, initally the magnitude of change relative to their baseline is greater. Whereas those with mild or average discrepancies may appear lackluster, despite the same functional change. It all comes down to ROI, essentially.
 
  • +1
Reactions: Sukavelli, alexias, FlotPSL and 5 others
Why people born with obvious skeletal CLASS 2 or CLASS 3 often have it easier than the average looking person?
( LOOKS & HEALTH WISE )


People diagnosed with clear class 2 or class 3 almost always qualify for coverage or reimbursement through their insurance or national healthcare system - whatever there is in their country, some still go private - doesn’t matter.
In the vast majority of cases, post op, they will end up with nearly perfect jaw proportions.


while:
Normal/average people - or those with mild class 2 or class 3 that were most likely previously camouflaged with braces often times end up looking like shit, just shit with asymmetries and jaws that are not fully aligned, very unpleasing.

+ breathing/airway aspect
"Obvious" class 2 or class 3 often end up with ideal airways after surgery, which improves breathing significantly.
Gives you an airway that the average person can only dream of.
View attachment 4536053


For example:
This person with a textbook class 3 and an exceptionally wide airway (probably around 3 times larger than average), could undergo DJS with significant maxillary movement and end up mogging while still preserving their airway size.
View attachment 4536030


Meanwhile:
Person with a mild, camouflaged Class 2, who doesn’t medically need surgery, is unlikely to get funding or approval from 99% of surgeons.
View attachment 4536047


Thanks for reading.
Read every molecule
 
  • +1
Reactions: Sukavelli, alexias, FlotPSL and 4 others
Why people born with obvious skeletal CLASS 2 or CLASS 3 often have it easier than the average looking person?
( LOOKS & HEALTH WISE )


People diagnosed with clear class 2 or class 3 almost always qualify for coverage or reimbursement through their insurance or national healthcare system - whatever there is in their country, some still go private - doesn’t matter.
In the vast majority of cases, post op, they will end up with nearly perfect jaw proportions.


while:
Normal/average people - or those with mild class 2 or class 3 that were most likely previously camouflaged with braces often times end up looking like shit, just shit with asymmetries and jaws that are not fully aligned, very unpleasing.

+ breathing/airway aspect
"Obvious" class 2 or class 3 often end up with ideal airways after surgery, which improves breathing significantly.
Gives you an airway that the average person can only dream of.
View attachment 4536053


For example:
This person with a textbook class 3 and an exceptionally wide airway (probably around 3 times larger than average), could undergo DJS with significant maxillary movement and end up mogging while still preserving their airway size.
View attachment 4536030


Meanwhile:
Person with a mild, camouflaged Class 2, who doesn’t medically need surgery, is unlikely to get funding or approval from 99% of surgeons.
View attachment 4536047


Thanks for reading.
Not over for me then :love:
 
  • +1
  • Love it
Reactions: Sukavelli, alexias, FlotPSL and 4 others
dnr i will read it later
 
  • +1
Reactions: Sukavelli, alexias, Adee and 1 other person
Why people born with obvious skeletal CLASS 2 or CLASS 3 often have it easier than the average looking person?
( LOOKS & HEALTH WISE )


People diagnosed with clear class 2 or class 3 almost always qualify for coverage or reimbursement through their insurance or national healthcare system - whatever there is in their country, some still go private - doesn’t matter.
In the vast majority of cases, post op, they will end up with nearly perfect jaw proportions.


while:
Normal/average people - or those with mild class 2 or class 3 that were most likely previously camouflaged with braces often times end up looking like shit, just shit with asymmetries and jaws that are not fully aligned, very unpleasing.

+ breathing/airway aspect
"Obvious" class 2 or class 3 often end up with ideal airways after surgery, which improves breathing significantly.
Gives you an airway that the average person can only dream of.
View attachment 4536053


For example:
This person with a textbook class 3 and an exceptionally wide airway (probably around 3 times larger than average), could undergo DJS with significant maxillary movement and end up mogging while still preserving their airway size.
View attachment 4536030


Meanwhile:
Person with a mild, camouflaged Class 2, who doesn’t medically need surgery, is unlikely to get funding or approval from 99% of surgeons.
View attachment 4536047


Thanks for reading.
This is all for overbite/underbite?
 
  • +1
Reactions: Sukavelli, Atra and Adee
I have an overbite

When i tried to match my teeth my face gets longer(obviously) but i think it makes me look uglier ngl
 
  • +1
Reactions: Sukavelli, alexias and Atra
For example:
This person with a textbook class 3 and an exceptionally wide airway (probably around 3 times larger than average), could undergo DJS with significant maxillary movement and end up mogging while still preserving their airway size.
View attachment 4536030
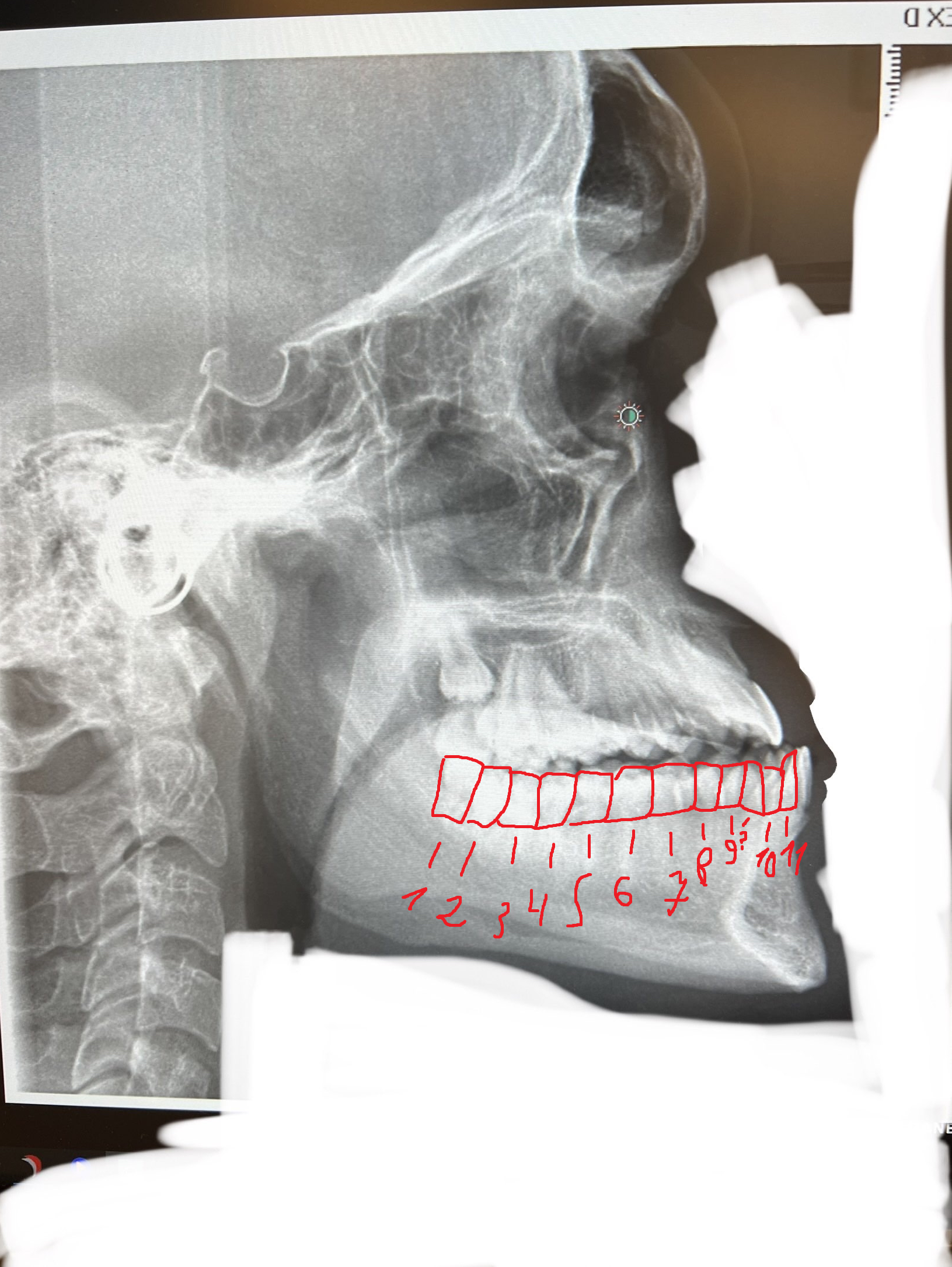
wth are ts photo, 11 teeth on the bottom side :forcedsmile::forcedsmile::forcedsmile:
1768347794108
 
  • +1
Reactions: Sukavelli, alexias, Atra and 1 other person
  • +1
Reactions: Sukavelli, alexias and Wexilarious
I do (class 3 + midline discrepancy) and still, I don’t get covered in Germany.
There’s even confirmed cartilage resorption in the TMJ.

You have to actually look deformed to receive coverage in Germany.
 
  • +1
Reactions: Sukavelli, alexias and Adee
Why people born with obvious skeletal CLASS 2 or CLASS 3 often have it easier than the average looking person?
( LOOKS & HEALTH WISE )


People diagnosed with clear class 2 or class 3 almost always qualify for coverage or reimbursement through their insurance or national healthcare system - whatever there is in their country, some still go private - doesn’t matter.
In the vast majority of cases, post op, they will end up with nearly perfect jaw proportions.


while:
Normal/average people - or those with mild class 2 or class 3 that were most likely previously camouflaged with braces often times end up looking like shit, just shit with asymmetries and jaws that are not fully aligned, very unpleasing.

+ breathing/airway aspect
"Obvious" class 2 or class 3 often end up with ideal airways after surgery, which improves breathing significantly.
Gives you an airway that the average person can only dream of.
View attachment 4536053


For example:
This person with a textbook class 3 and an exceptionally wide airway (probably around 3 times larger than average), could undergo DJS with significant maxillary movement and end up mogging while still preserving their airway size.
View attachment 4536030


Meanwhile:
Person with a mild, camouflaged Class 2, who doesn’t medically need surgery, is unlikely to get funding or approval from 99% of surgeons.
View attachment 4536047


Thanks for reading.
True I have a skeletal class 2 not getting camouflage orthodontics I plan on getting covered djs in the future
 
  • +1
Reactions: Sukavelli and alexias
bump
 
  • +1
Reactions: Sukavelli and alexias
Why people born with obvious skeletal CLASS 2 or CLASS 3 often have it easier than the average looking person?
( LOOKS & HEALTH WISE )


People diagnosed with clear class 2 or class 3 almost always qualify for coverage or reimbursement through their insurance or national healthcare system - whatever there is in their country, some still go private - doesn’t matter.
In the vast majority of cases, post op, they will end up with nearly perfect jaw proportions.


while:
Normal/average people - or those with mild class 2 or class 3 that were most likely previously camouflaged with braces often times end up looking like shit, just shit with asymmetries and jaws that are not fully aligned, very unpleasing.

+ breathing/airway aspect
"Obvious" class 2 or class 3 often end up with ideal airways after surgery, which improves breathing significantly.
Gives you an airway that the average person can only dream of.
View attachment 4536053


For example:
This person with a textbook class 3 and an exceptionally wide airway (probably around 3 times larger than average), could undergo DJS with significant maxillary movement and end up mogging while still preserving their airway size.
View attachment 4536030


Meanwhile:
Person with a mild, camouflaged Class 2, who doesn’t medically need surgery, is unlikely to get funding or approval from 99% of surgeons.
View attachment 4536047


Thanks for reading.
Too bad my religion prohibits insurance
 
  • +1
Reactions: Sukavelli and Deleted member 280441

Similar threads

class3biter :C
Replies
57
Views
185
class3biter :C
class3biter :C
htnframemax
Replies
1
Views
36
4lexx_skiral
4lexx_skiral
Rashm0n
Replies
2
Views
28
слон
слон
Giornoblaze
Replies
12
Views
60
dogpound
dogpound
sxuqz
Replies
13
Views
106
anthony267
anthony267

Users who are viewing this thread

Back
Top