would orthodontics slighlty improve my bones?

nellii

nellii

When you hit rock bottom you can only go up
Joined
Jun 22, 2025
Posts
2,264
Reputation
4,786
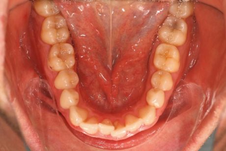
im 17 and have a similar problem as the pic. one of my front teeth is slightly backward, and the surrounding teeth tend to "close in" around it, also narrowing my palate. The special braces I have to wear would certainly ascend my teeth, but would they also do something to my facial bones by widening my palate?
 

Attachments

  • IMG_4022.jpeg
    IMG_4022.jpeg
    32.1 KB · Views: 0
marpe would make your cheekbones go out
 
  • +1
Reactions: iamaincel

Similar threads

R
Looksmax Orthodontics
Replies
10
Views
140
raconeater21
R
BoneStruct.Maxx
Replies
6
Views
152
BoneStruct.Maxx
BoneStruct.Maxx
D
Replies
1
Views
111
PostivityCore
PostivityCore
lahari
Replies
26
Views
737
lahari
lahari

Users who are viewing this thread

Back
Top