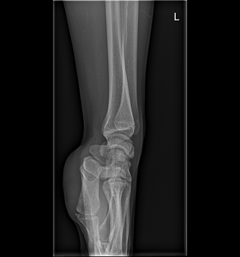
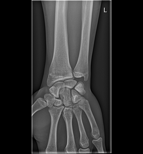
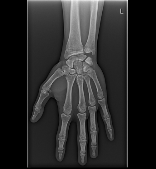
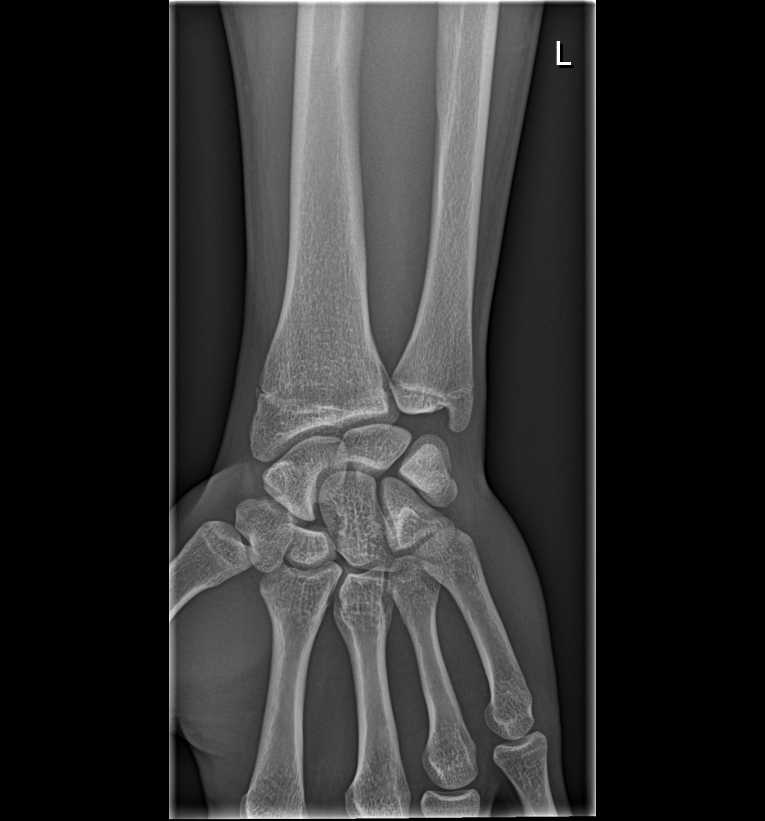
Xray results! is it over buddy boyos??

bobie

bobie

Iron
Joined
Nov 9, 2024
Posts
3
Reputation
1
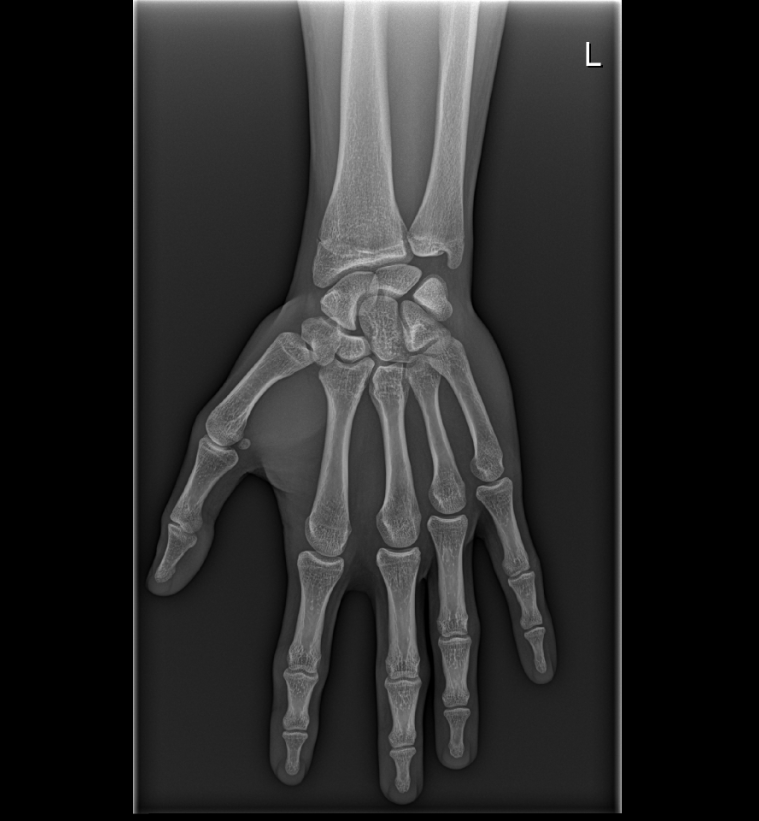
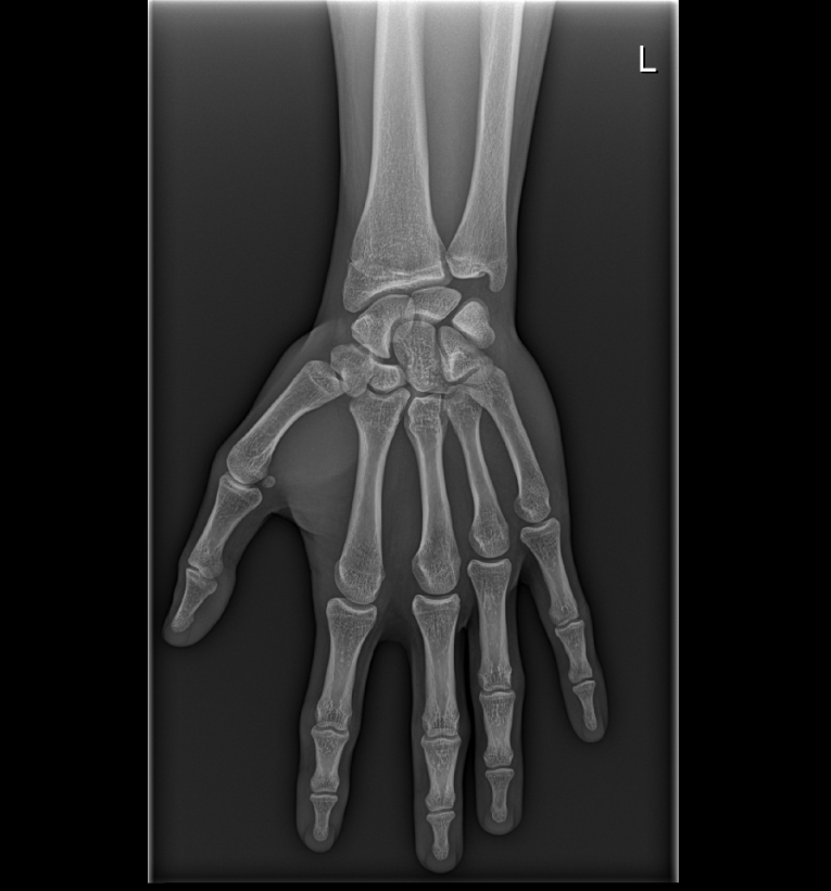
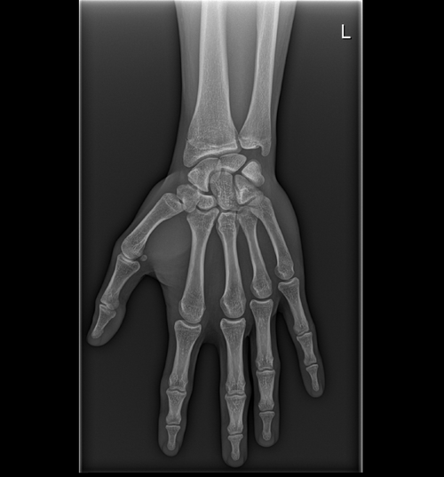
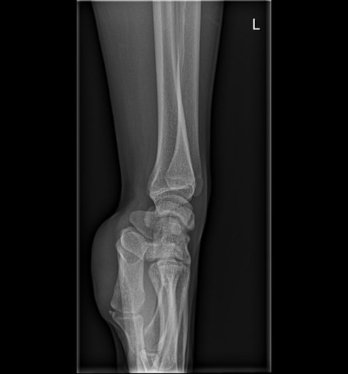
FYI. Im 17yr , 168cm ( 5'6) . my dad is 5'5 and mom is 5'2

the big doc said that my bone age is 17yr old and that my plates are closed but I trust org more then the doctors so here are my results.

is it worth to pin gh or should I accept it?
 

Attachments

  • 2026-04-22_13_09_40.png
    2026-04-22_13_09_40.png
    393.7 KB · Views: 0
  • 2026-04-22_13_09_39.png
    2026-04-22_13_09_39.png
    399.7 KB · Views: 0
  • 2026-04-22_13_09_37.png
    2026-04-22_13_09_37.png
    362.2 KB · Views: 0
  • 2026-04-22_13_09_35.png
    2026-04-22_13_09_35.png
    398.7 KB · Views: 0
  • +1
Reactions: edohc3619
im sorry dude
 
  • +1
Reactions: bobie
Even after blasting hgh with open growth plates, it would'nt have saved. Sorry man.
 
  • +1
Reactions: bobie

Similar threads

anemo
Replies
3
Views
39
81xa
81xa
zurrity
Replies
2
Views
27
zurrity
zurrity
ndfoiddestroyer
Replies
18
Views
73
ndfoiddestroyer
ndfoiddestroyer
ndfoiddestroyer
Replies
9
Views
59
IbalmeHponeMin
IbalmeHponeMin
Poller
Replies
13
Views
116
chicos reincarnate
chicos reincarnate

Users who are viewing this thread

Back
Top