Actual midface implant results

D

Deleted member 13710

Luminary
Joined
Apr 25, 2021
Posts
5,509
Reputation
5,174
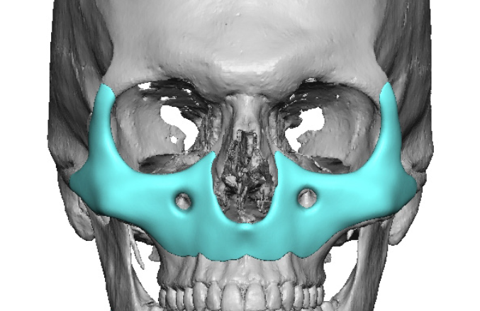
What do you think? I read a lot about midface implants but I have barely seen any results. Since NONE OF YOU ARE GOING TO GET LE FORT 3, this seems like a reasonable result for someone with a flat maxilla.

Midface implant 4 male custom midface implant side view 1 768x773 Midface implant 5 male custom midface implant side 2 768x730

Midface implant 1 male midface deficiency 3D CT scan front view768x510 Midface implant 2 male custom midface implant design front view
 
  • +1
  • JFL
Reactions: Zenis, valhalar, Interested and 8 others
did they accidentally cut open his eyelid or what
 
  • JFL
  • +1
  • Hmm...
Reactions: 5'7 currychad, klamus, valhalar and 9 others
yes midface implants are gold standard for giving more projection to upper maxilla

this seems like a custom all-in-one paranasal+saddled infra+zygo+some central malar area+extension along side of the eyes.

custom infra-zygos are usually enough for most people though imo

did they accidentally cut open his eyelid or what
these implants are usually inserted through the eyelid
 
  • +1
Reactions: Deleted member 96549, Interested, twilight and 1 other person
looks very good
 
  • +1
Reactions: malicieusss and CuriousGuy
@extremchange628181
 
Also do you have any before and afters after recovery?
 
note that if you got lefort1 you wouldnt need any of the area below the base of the nose
 
  • +1
Reactions: horsefacin, valhalar, Manfrommars and 2 others
bimax + these would mog so hard
 
  • +1
Reactions: UrGirlsMcm, klamus, valhalar and 5 others
Looks good but do you have more angles?

Appreciate the sharing of these pics. A lot of these skull/implant scans float around but as you mentioned there aren't many pics to go off of to see how results actually look.
 
  • +1
  • Woah
Reactions: WagedandReady, Deleted member 29167 and Deleted member 13710
I

It's the same as bimax + inframalars right?
This implant covers what a Lefort I would cover + paranasal + inframalars + some area on the side of the eyes

Does not touch the mandible
 
Last edited:
he probably had to pay with an arm and a leg (which eppley extracted as compensation when he was going down to pick up a rib for bone graft anyway)
 
  • JFL
Reactions: Deleted member 120358 and Deleted member 29167
This implant covers what a Lefort I would cover + paranasal + zygo + inframalars + some area on the side of the eyes

Does not touch the mandible
Inframalars are zygos(malars) + infras nigga
 
trimax + rhino + full midface implants + canthoplasty=guaranteed ascension
 
  • +1
Reactions: Glacier, WagedandReady, malicieusss and 3 others
It's crazy how they managed to fit all of that through his eyelid

1689655679385
1689655686736
 
  • JFL
  • Hmm...
Reactions: Glacier, CyberPsychodelic, extremchange628181 and 3 others
a bit of a pity that there is no front pic

Eppley doesn't know how to post before afters
 
  • +1
Reactions: Glacier, extremchange628181 and Deleted member 13710
Eppley doesn't know how to post before afters
This is the reason that a lot of people think Eppley is a lot worse than he actually is. Terrible self-promotion.
 
  • +1
Reactions: Deleted member 24789
This is the reason that a lot of people think Eppley is a lot worse than he actually is. Terrible self-promotion.
nope, there are severe actual patients that complain. In fact he is famous exact because he is one of the best in self promotion.
 
Also is paranasal needed if u r doing bimax
 
nope, there are severe actual patients that complain.
It is a PSL meme that Eppley BOTCHES all kinds of people. If you look at his actual reviews, he has a very positive review from most patients. Any doctor with enough patients will eventually have a few that are dissatisfied.

In fact he is famous exact because he is one of the best in self promotion.
He does not discriminate between attractive and ugly patients when displaying his work, does not prioritize his best results, and has multiple websites that are hard to navigate/hard to find the actual patient galleries. In my opinion these are signs of bad self-promotion.
 
  • +1
Reactions: WagedandReady
It is a PSL meme that Eppley BOTCHES all kinds of people. If you look at his actual reviews, he has a very positive review from most patients. Any doctor with enough patients will eventually have a few that are dissatisfied.


He does not discriminate between attractive and ugly patients when displaying his work, does not prioritize his best results, and has multiple websites that are hard to navigate/hard to find the actual patient galleries. In my opinion these are signs of bad self-promotion.
nope. Go to reddit r/jawsurgery and you can see how he botched so many people.
 
nope. Go to reddit r/jawsurgery and you can see how he botched so many people.
Eppley doesn't perform jaw surgeries AFAIK. He does genioplasties which technically counts as a form of jaw surgery, but it is the simplest form.

I searched for "Eppley" on the subreddit you mentioned and just saw a bunch of people mentioning him/asking questions about him but who have never actually seen him. This "EPPLEY BOTCHED" stuff is fake news.
 
Eppley doesn't perform jaw surgeries AFAIK. He does genioplasties which technically counts as a form of jaw surgery, but it is the simplest form.

I searched for "Eppley" on the subreddit you mentioned and just saw a bunch of people mentioning him/asking questions about him but who have never actually seen him. This "EPPLEY BOTCHED" stuff is fake news.
 
after her
Eppley doesn't perform jaw surgeries AFAIK. He does genioplasties which technically counts as a form of jaw surgery, but it is the simplest form.

I searched for "Eppley" on the subreddit you mentioned and just saw a bunch of people mentioning him/asking questions about him but who have never actually seen him. This "EPPLEY BOTCHED" stuff is fake news.
he hire lawyers to take out these complaints about him
 
do u guys have any idea how much it cost and if u can get that in europe?
 
What do you think? I read a lot about midface implants but I have barely seen any results. Since NONE OF YOU ARE GOING TO GET LE FORT 3, this seems like a reasonable result for someone with a flat maxilla.

View attachment 2326291 View attachment 2326292

View attachment 2326293 View attachment 2326294
Excellent result- I believe implants designed by someone like @RealSurgerymax and placed by skilled surgeon will result in even far better result- combine it with that "L2-L1" osteotomy to move nasion and entire nasal root forward and bimax and you have your typical hyperanteface
 
  • +1
Reactions: Deleted member 23974

Similar threads

nathan_Bs123
Replies
30
Views
323
mtn_dude_193
M
R
Looksmax Orthodontics
Replies
10
Views
142
raconeater21
R
tweaqo
Replies
236
Views
7K
riras
R

Users who are viewing this thread

Back
Top