Bimax 5 days ago

hopecel271

hopecel271

MTN -> HTN in 2026
Joined
Dec 31, 2025
Posts
768
Reputation
643
Some before and after pics, what do yall think? (still very bloated), it was 5 days ago and i'm 17
Before:
1770626461582

After:
1770626474357
1770626482804

1770626492849
 
  • +1
Reactions: Former Shortcel, sadcel and lucifer88
nigga descended ( i know there's swelling but still)
 
nigga descended ( i know there's swelling but still)
Hope you’re joking brah. Look at the bone structure and you’ll realize once the swelling is gone he def ascended
 
holy botch @Chad
 
  • +1
Reactions: PrettyboyQ
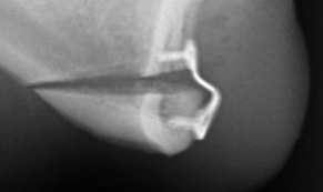
look at the x ray faggot, nothing fucking changed, nigga got a botched genioplasty im fucking dead
Hope you’re joking brah. Look at the bone structure and you’ll realize once the swelling is gone he def ascended
 
  • +1
Reactions: PrettyboyQ
look at the x ray faggot, nothing fucking changed, nigga got a botched genioplasty im fucking dead
You’re saying the bottom (before) is better than the top (after)? Are you joking brah?
 
  • +1
Reactions: wristcel
look at the x ray faggot, nothing fucking changed, nigga got a botched genioplasty im fucking dead
your so low iq hahahah
the genioplasty had to be moved 3mm downwards because i had short face syndrome
 
  • +1
Reactions: Former Shortcel
  • +1
Reactions: PrettyboyQ and hopecel271
  • +1
Reactions: PrettyboyQ
how much do you think i'll ascend once the bloat is gone?
Depends really all I see is your side. No way to know tbh until swelling goes away and everything heals right. Definitely will be better than before though
 
Last edited:
  • +1
Reactions: PrettyboyQ
how's the recovery
 
are u dumb nigga, i know the bottom is after, it's a botched genio holy fuck
How is it botched? You’re speaking out of your ass without any real criticism or facts
 
Your pre-surgery side profile looks exactly like mine. I hope to get Bimax myself after I join the military.
how good/bad do you think my bimax went?
 
  • So Sad
Reactions: UMIRINBRAH?
Its okay I guess
 
  • JFL
Reactions: UMIRINBRAH?
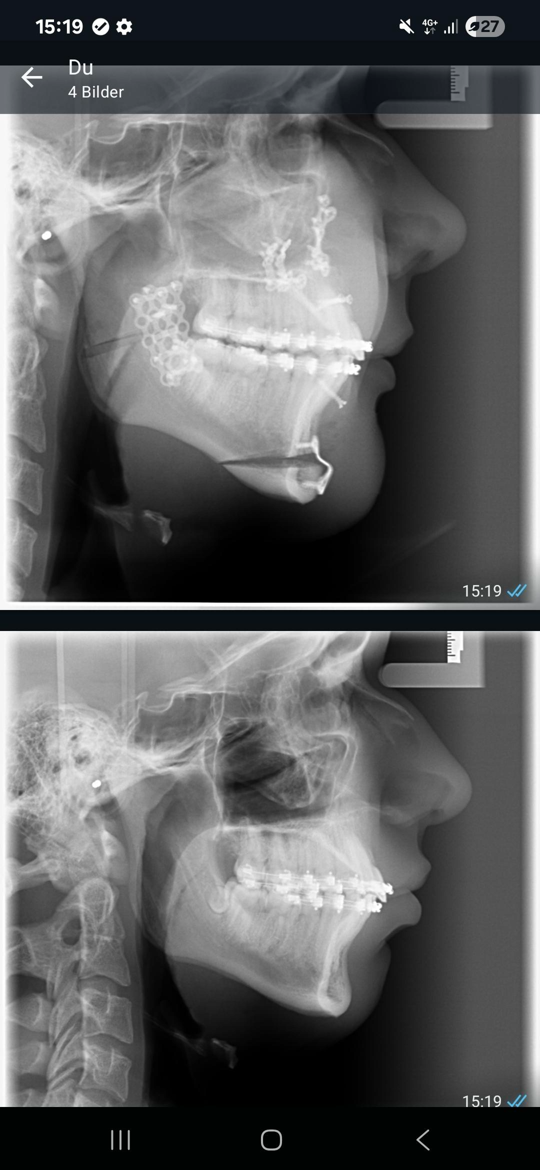
1770627749810
1770627816843

Bro you gotta be fucking kidding me @sayonara @Gargantuan nigga better sue his surgeon atp
 
how good/bad do you think my bimax went?
You ascended judging from your X-rays. You just need to wait until your swelling fully goes away.
 
  • +1
  • JFL
Reactions: hopecel271, wristcel and UMIRINBRAH?
Mirin brah what were your movements
 
  • +1
  • Love it
Reactions: Former Shortcel and hopecel271
where did you get the surgery and how much did it cost
dr dr kater frankfurt am main germany, im 17 and it cost 25K but the health insurance payed 17k so i only have to pay 8. my surgeon larped sleep apnea or sumthing
 
so you think it was a good bimax for 8k?
have to wait a while before we can judge everything, but yeah, 8k seems cheap.
Where do you live? Was it medically necessary or just for aesthetics?
I kinda wanna go to Turkey and get it done as they seem to push the 'surgery first' method whcih is what I want
 
have to wait a while before we can judge everything, but yeah, 8k seems cheap.
Where do you live? Was it medically necessary or just for aesthetics?
I kinda wanna go to Turkey and get it done as they seem to push the 'surgery first' method whcih is what I want
it was sort of medical, rather a larp tho, it cost 25k i only had to pay 8 and it was performed in germany
 
  • +1
Reactions: wristcel
Looks like you got fucked as of now but we'll never really now until the swelling has gone done.

Why did you have such little change? Was it medically necessary, seems by the look of it.

Regardless, mirin the courage.
 
Last edited:
Looks like you got fucked as of now but we'll never really now until the swelling has gone done.

Why did you have such little change? Was it medically necessary, seems by the look of it.

Regardless, mirin the courage.
sent you a pm
 
  • +1
Reactions: Illithios
dr dr kater frankfurt am main germany, im 17 and it cost 25K but the health insurance payed 17k so i only have to pay 8. my surgeon larped sleep apnea or sumthing
what a steal
 

Similar threads

hopecel271
Replies
4
Views
166
good_king_alex
good_king_alex
hopecel271
Replies
5
Views
102
tansel
tansel
hopecel271
Replies
4
Views
62
hopecel271
hopecel271
hopecel271
Replies
15
Views
213
hopecel271
hopecel271
hopecel271
Replies
13
Views
380
goysl0p
goysl0p

Users who are viewing this thread

Back
Top