Bimax yesterday

My maxilla was moved from 79⁰ to 82.3⁰ or Sum like that probably bcs of that
What do you think abt my question?
it might be a result from soft tissue manipulation and it honestly mogs , @LEFORT17 @yussimania @lurking truecel @AustrianMogger what do u guys think
 
How did his lips get les protruded?
Could be multiple reasons
Lower lip: reduced depth of mentolabial fold makes the transition between lip and chin less abrupt therefore lips seems less potruding
Upper lip: rotation or advancement might have done that
Also swelling around mouth area would make the lips look less sticking out
 

Attachments

  • Medien (73).jpg
    Medien (73).jpg
    263.4 KB · Views: 0
  • Medien (72).jpg
    Medien (72).jpg
    237.3 KB · Views: 0
  • Medien (71).jpg
    Medien (71).jpg
    202.6 KB · Views: 0
Last edited:
update pics:
I'm scared my chin will recede or other good things will change once the bloat is gone, what do you think?
Looks good but you didnt get much forward advancement. Doing the chin longer looks questionable aswell
 
  • +1
Reactions: shedontluv-U, Jeremy Meeks, monecel and 3 others
your right, it's not the surgeons fault tho, my bite was already perfect and my maxilla wasnt that recessed. my maxilla is perfect now my chin too my mandible is still slightly recessed. how much do yall think i'll ascend? @FlotPSL @lurking truecel
 
  • +1
Reactions: FlotPSL and lurking truecel
your right, it's not the surgeons fault tho, my bite was already perfect and my maxilla wasnt that recessed. my maxilla is perfect now my chin too my mandible is still slightly recessed. how much do yall think i'll ascend? @FlotPSL @lurking truecel
Hard to say, prob a rating higher then what you started from
 
  • +1
Reactions: Jeremy Meeks and Rylie
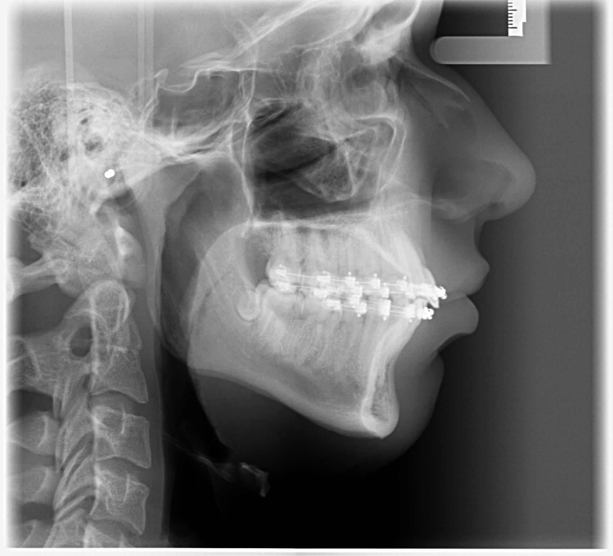
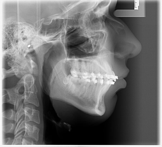
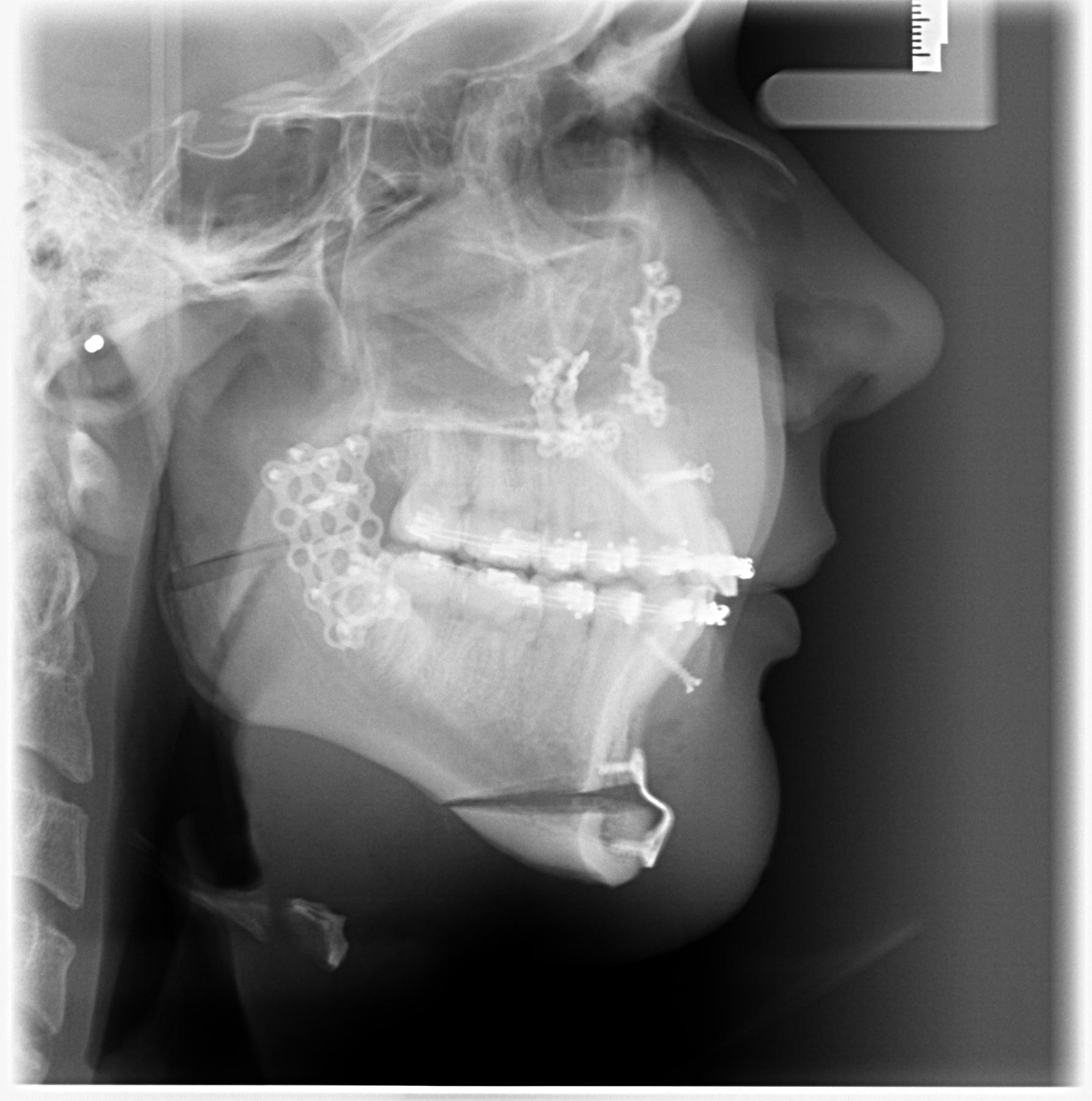
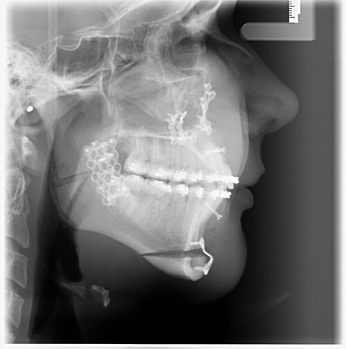
I had Bimaxsurgery + genioplasty yesterday performed by Dr Dr Kater, Frankfurt am Main, Germany. I'm 17 and it went well, no nerves are botched and he told me the Plan was executed perfectly fine. In the pictures you can see 24h before and 24h after the surgery. He did a great job with my maxilla and mandible but the genioplasty is slightly underadvanced. My nose had a very big glowup but it'll all look different in 5 months i'm very bloated rn. What do yall think?
make sure to thank him daily for your new life
 
  • +1
  • Love it
Reactions: archiewannabe and DrDrKater
update pics:
I'm scared my chin will recede or other good things will change once the bloat is gone, what do you think?
Hä aber du hast ja auch genioplasty gemacht also basically trimax und nd bimax?
 
  • +1
Reactions: Jeremy Meeks
Hä aber du hast ja auch genioplasty gemacht also basically trimax und nd bimax?
ja, gibt aber viele greys die ndmal wissen was trimax ist, schreibe daher bimax + genio
 
  • +1
Reactions: Jeremy Meeks and Jesus_ist_König
Wie war es eigentlich vom Gefühl her? Hattest du schiss oder so, dass etwas schiefgeht?
 
How were you able to pay for this? You were 12 years old when I registered on this site, and it's still super expensive for me.
 
  • +1
Reactions: Lookologist003
wish for the same
 
How were you able to pay for this? You were 12 years old when I registered on this site, and it's still super expensive for me.
2021 cel holy shit unc
Don’t tell me you didn’t do any surgery in 5 yrs
 
  • JFL
Reactions: Jeremy Meeks and horsefacin
How were you able to pay for this? You were 12 years old when I registered on this site, and it's still super expensive for me.
trading luck, what do you think of the result?
 
Mirin, ur nose bump is already gone I also have similar case like u and also have short face syndrome but am confuse if getting CW rotation will make me more recessed, in ur x ray i can see u wont have a major change in ur face apart from ur nose bump, ramus and chin , i think u will need more osteotomy to get the perfect length of the bone just like LL surgery where they increase ur bone length everyday. Honestly am not aware abt this i will have to research myself abt that cuz gettin a CW rotation will do more harm to face than good it make ur face long and recessed
 
Last edited:
update pics:
I'm scared my chin will recede or other good things will change once the bloat is gone, what do you think?
Nah ur chin will be fine
 
Mirin, ur nose bump is already gone I also have similar case like u and also have short face syndrome but am confuse if getting CW rotation will make me more recessed, in ur x ray i can see u wont have a major change in ur face apart from ur nose bump, ramus and chin , i think u will need more osteotomy to get the perfect length of the bone just like LL surgery where they increase ur bone length everyday. Honestly am not aware abt this i will have to research myself abt that cuz gettin a CW rotation will do more harm to face than good it make ur face long and recessed
i had a very very very minimal cw, not optimal for forward growth but there's hardly any surgeon in germany that does cw and i had short face syndrome so it would't ascend me that much. my nose lips and chin look far better i can already see my ramus through the swelling, i'm very happy, but youre right: I didn't get that much sagittal movement, still a good bimax tho
 
  • +1
Reactions: BROWNINCEL
Congrats bro! Looking great!
And remember: bimax results can’t be absolute! There is always room for better planning and execution but that can’t happen in reality (and there is always different opinions on the results) So be happy with what you got and it seems you are! (It’s probably gonna be a roller coaster until you accept your new refined face—you may like it sometimes, you may hate it after— just know that it’s natural and happens for everyone
And wait a FULL YEAR to see the real results! It’ll get better and better!
 
  • +1
  • Love it
Reactions: Jeremy Meeks and DrDrKater
Congrats bro! Looking great!
And remember: bimax results can’t be absolute! There is always room for better planning and execution but that can’t happen in reality (and there is always different opinions on the results) So be happy with what you got and it seems you are! (It’s probably gonna be a roller coaster until you accept your new refined face—you may like it sometimes, you may hate it after— just know that it’s natural and happens for everyone
And wait a FULL YEAR to see the real results! It’ll get better and better!
thx bro, really appreciate it
 
  • +1
Reactions: Genz2002
i had a very very very minimal cw, not optimal for forward growth but there's hardly any surgeon in germany that does cw and i had short face syndrome so it would't ascend me that much. my nose lips and chin look far better i can already see my ramus through the swelling, i'm very happy, but youre right: I didn't get that much sagittal movement, still a good bimax tho
Happy for u man ascending is all that matters at the end of the day :Comfy:
 
Hard to say, prob a rating higher then what you started from
There's no way this guy improved a point with that lmao
IMG 5826


And front potentially no improvement but a wider nose.

update pics:
I'm scared my chin will recede or other good things will change once the bloat is gone, what do you think?

Yeah it looks recessed tbh I told you before to not go to a german surgeon but you didn't listen of course
Dr Dr Kater my ass.

Your foto after surgery looks almost like the before foto of raffainis most recent result on insta


IMG 5827
 
  • +1
Reactions: Jeremy Meeks, geenk worg and tyler1234
your right, it's not the surgeons fault tho, my bite was already perfect and my maxilla wasnt that recessed. my maxilla is perfect now my chin too my mandible is still slightly recessed. how much do yall think i'll ascend? @FlotPSL @lurking truecel

Bitch please it's definitely the surgeons fault. I fucking hate this ass licking mentality Germans have towards doctors acting like they can't fail and it's never their fault.

You should write him a postcard with some printed out results of gunson or raffaini and tell him he better get on this level or just call it quits as a jaw surgeon as he obviously lacks any skills and talent.
 
  • JFL
  • +1
Reactions: Jeremy Meeks, geenk worg and LackEmpathyTherefor
Bitch please it's definitely the surgeons fault. I fucking hate this ass licking mentality Germans have towards doctors acting like they can't fail and it's never their fault.

You should write him a postcard with some printed out results of gunson or raffaini and tell him he better get on this level or just call it quits as a jaw surgeon as he obviously lacks any skills and talent.
what should he have done differently?
 
Bitch please it's definitely the surgeons fault. I fucking hate this ass licking mentality Germans have towards doctors acting like they can't fail and it's never their fault.

You should write him a postcard with some printed out results of gunson or raffaini and tell him he better get on this level or just call it quits as a jaw surgeon as he obviously lacks any skills and talent.
iqlet hahaha
this is my side now (8 days later) btw
1770880003365
1770880017645

this is before
 
  • +1
Reactions: Jgns, archiewannabe and lurking truecel
Lower jaw and chin look Under advanced as expected from a krautcel surgeon.

That's why I would never get jaw surgery in Germany. Just retarded potato heads that can't get it right.


Did your front change to any noticeable degree? It's probably too swollen to see anyways right now
whats the point of surgery if he still looks recessed, shouldve got bigger movements
 
  • +1
Reactions: Jeremy Meeks and Ascension75
genuine question can you get bimax twice
nigga why do you think i'll have to get it twice? But yes you can, which wouldn't make any sense if i don't do teeth decomp, my maxilla is ideal my mandible is still recessed
 
iqlet hahaha
this is my side now (8 days later) btw
View attachment 4645513 View attachment 4645514
this is before
mirin for dedication but you didn't ascend you just look different now, in fact I'd argue it aged you

you should have just done a big genioplasty since you were ideal class 1 to begin with

the upper lip area got nuked getting replaced by a stronger lower third - basically the opposite of your before

not saying it's botched or a bad result btw
 
  • +1
Reactions: Ascension75
mirin for dedication but you didn't ascend you just look different now, in fact I'd argue it aged you

you should have just done a big genioplasty since you were ideal class 1 to begin with

the upper lip area got nuked getting replaced by a stronger lower third - basically the opposite of your before

not saying it's botched or a bad result btw
definetly an ascension imo
Look at the nose it looks so much better
i had an facial scolliosis before
i had short face syndrome
 
  • +1
Reactions: AryanFoidJester
I had Bimaxsurgery + genioplasty yesterday performed by Dr Dr Kater, Frankfurt am Main, Germany. I'm 17 and it went well, no nerves are botched and he told me the Plan was executed perfectly fine. In the pictures you can see 24h before and 24h after the surgery. He did a great job with my maxilla and mandible but the genioplasty is slightly underadvanced. My nose had a very big glowup but it'll all look different in 5 months i'm very bloated rn. What do yall think?
True nepotismmaxx, thank Ghandi that you opened your eyes and got it fixed before your prime. Enjoy.
 
  • Love it
Reactions: DrDrKater
sehr stark

miriniere es sehr
 
  • JFL
  • +1
Reactions: Mainlander and DrDrKater
Congrats man, hope recovery goes well.
 
  • +1
  • Love it
Reactions: AryanFoidJester and DrDrKater
so siehts grade ca aus:

1770985662198
 
  • +1
Reactions: lurking truecel
He is not recessed anymore
Good job
Now it only gets easier from there
 
  • +1
Reactions: orgㅤ, lurking truecel, AryanFoidJester and 1 other person
You did the wrong movements but still look better overall cuz of genio. Don't worry about it. How is the recovery?
 
Mirin, can’t wait to see the full outcome
I had Bimaxsurgery + genioplasty yesterday performed by Dr Dr Kater, Frankfurt am Main, Germany. I'm 17 and it went well, no nerves are botched and he told me the Plan was executed perfectly fine. In the pictures you can see 24h before and 24h after the surgery. He did a great job with my maxilla and mandible but the genioplasty is slightly underadvanced. My nose had a very big glowup but it'll all look different in 5 months i'm very bloated rn. What do yall think?
very balanced. congrat the doctor for his good work
how much was it?
 
Take a new pic with better posture
 
cuz ur tilting head in your pics. its not a proper side
so first of all im not, 2. whta do you think would happen to my chin if i tilted it 2 degrees lower, nigger
 

Similar threads

DrDrKater
Replies
27
Views
290
idont
idont
DrDrKater
Replies
40
Views
592
Surgerymaxxingcel
S
DrDrKater
Replies
21
Views
468
Matthaiass
Matthaiass
DrDrKater
Replies
16
Views
365
Oliebol
O
DrDrKater
Replies
9
Views
225
tyler1234
T

Users who are viewing this thread

Back
Top