CBCT scan , Best movement for a blackpilled trimax result with Ramieri?

C

CookedCope

Iron
Joined
May 6, 2025
Posts
22
Reputation
13
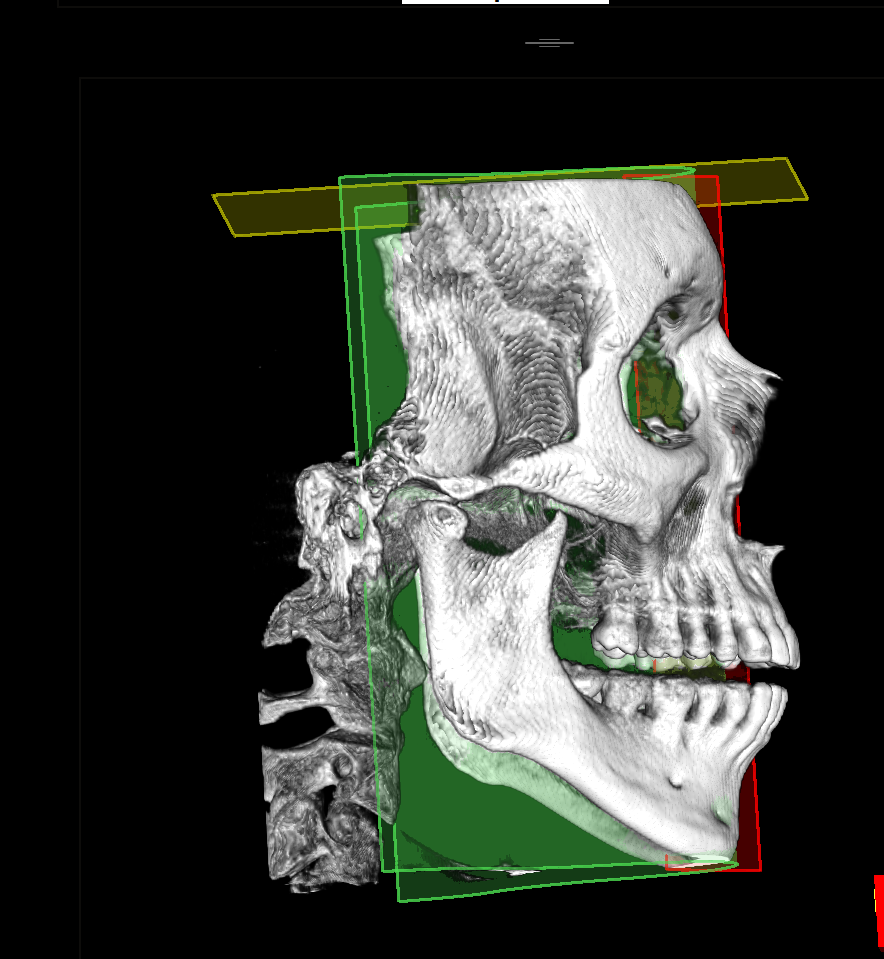
Had a 3D scan done for surgical planning (attached). It was taken with a bite block, so the jaw looks open.

Main issues I see:


  • High mandibular plane angle
  • Obtuse gonial angle
Ramieri’s data center or whatever was down during the consult so we couldn’t run any simulations — now I’m stuck doing this over email. What’s the most blackpilled way to phrase “give me the best possible outcome” without sounding like a clueless normie?

Looking for feedback from people who’ve studied/undergone CCW or trimax. Serious input appreciated , need to get the max out of this surgery.

Plan was Implate+Trimax but my occlusion kinda good ngl , wonder if Jaw angle implants+genio might give decent enough ROI too?





1762435659400


1762435783594

1762433450336

1762433466075
 
  • +1
Reactions: ltn_looksminner and Jué
Implate+Trimax will fix it.
just let him know you want a radical change and he will plan it.
 
  • +1
Reactions: CookedCope and lurking truecel
I would skip implate and just go with trimax. You got a good wide chin. Its just needs to come forward. Dont overotate, high angle isnt that much of a problem and can look better from front either way
 
  • +1
Reactions: slaters and CookedCope
I would skip implate and just go with trimax. You got a good wide chin. Its just needs to come forward. Dont overotate, high angle isnt that much of a problem and can look better from front either way
He offered something like this. Maybe I can ask for a bit more forward movement from the maxilla.
 

Attachments

  • 1.JPG
    1.JPG
    146.2 KB · Views: 0
  • +1
Reactions: ltn_looksminner and lurking truecel
I would skip implate and just go with trimax. You got a good wide chin. Its just needs to come forward. Dont overotate, high angle isnt that much of a problem and can look better from front either way
Also I dont think implate is for the chin but to gonials. I have <0.8 Zygos to Gonials if im calculating correctly (on bone). Maybe in real life it looks bigger due to masseter hypertrophy
 
He offered something like this. Maybe I can ask for a bit more forward movement from the maxilla.
nah you dont need more on the upper jaw. plan looks good, occlusion plane almost flat maybe 2-4 degrees which is completly fine. go for it lil bro
 
  • +1
Reactions: CookedCope
nah you dont need more on the upper jaw. plan looks good, occlusion plane almost flat maybe 2-4 degrees which is completly fine. go for it lil bro
Tnx big dawg , any opinion on implate?
 
He offered something like this. Maybe I can ask for a bit more forward movement from the maxilla.
Dont do the genio like that, and dont impact anteriorly. Even if it gives a slightly longer face. Its better to stretch soft tissues. Then to make your face shorter like the plan from impaction and very vertically short chin
 
  • +1
Reactions: clearness.
Dont do the genio like that, and dont impact anteriorly. Even if it gives a slightly longer face. Its better to stretch soft tissues. Then to make your face shorter like the plan from impaction and very vertically short chin
theres a slight downward rotation to maintain height, the genio is fine
 
theres a slight downward rotation to maintain height, the genio is fine
The genio is the worst part, it will look extremly point also when its not a high cut genio. This is for real a trade mark from what i have seen that ram is kinda bad at genios. And yes hmits not much impaction but the shortening od the face and the advancement dont go good together. He should do more forward advancement. And less genio
Screenshot 20251114 141603
ideally he should do gga
 
theres a slight downward rotation to maintain height, the genio is fine
Screenshot 20251119 092134

In worst case with this extreme vertical lowering of the chin ot will be this kind of step off. This is a ram result btw
 
  • +1
Reactions: yussimania
The genio is the worst part, it will look extremly point also when its not a high cut genio. This is for real a trade mark from what i have seen that ram is kinda bad at genios. And yes hmits not much impaction but the shortening od the face and the advancement dont go good together. He should do more forward advancement. And less genio View attachment 4341329 ideally he should do gga
yeah probably right about more jaw/less chin. i like raffaini style with 80/20 jaw/chin movements
 
what about small genio movements with vertical shortening, like 2mm forward 2mm up
Depend on the width and height of the vertical cut, this one is extremly small in height which has bigger risk
 
yeah probably right about more jaw/less chin. i like raffaini style with 80/20 jaw/chin movements
Yea 100% why do bimax if you need a big genio. Its prob because that you ddint decomp then. This dude would need pre molars removed to get overbite. Maybe thats what he is getting.
 
"it is very hard to give and established plan with the scan you provided that is very low quality and with a limited field of view. I could evaluate that you will need preparation braces as already underlined. The movements that I foresee are CCW of the maxillo-mandibular complex and genioplasty.

I'm attaching a very superficial and ballpark estimation of the possible skeletal outcomes. "

That was his words , so movements are not "final"
 
You guys are to high iq , ngl im lost
Am i getting botched ? Im starting decomp next week. Only wisdom teeth extraction has been done
 
Last edited:
You guys are to high iq , ngl im lost
Am i getting botched ? Im starting decomp next week. Only wisdom teeth extraction has been done
did he say anything about lower premolars extraction with the braces
 
  • +1
Reactions: CookedCope
to get an (worse) overbite for bigger lower jaw movements
understood , do you think considering my oclussion is good that I can get away with just a genio? (and get lets say atleast 70% of the aesthetic value for a fraction of the money/suffering)
 
Need a trimax for this right?
 

Attachments

  • mog.png
    mog.png
    163.9 KB · Views: 0
Need a trimax for this right?
yes
understood , do you think considering my oclussion is good that I can get away with just a genio? (and get lets say atleast 70% of the aesthetic value for a fraction of the money/suffering)
pag does cope with big genios but it s always best to get actual bsso instead of genios, not just for function
 
  • +1
Reactions: CookedCope
Had a 3D scan done for surgical planning (attached). It was taken with a bite block, so the jaw looks open.

Main issues I see:


  • High mandibular plane angle
  • Obtuse gonial angle
Ramieri’s data center or whatever was down during the consult so we couldn’t run any simulations — now I’m stuck doing this over email. What’s the most blackpilled way to phrase “give me the best possible outcome” without sounding like a clueless normie?

Looking for feedback from people who’ve studied/undergone CCW or trimax. Serious input appreciated , need to get the max out of this surgery.

Plan was Implate+Trimax but my occlusion kinda good ngl , wonder if Jaw angle implants+genio might give decent enough ROI too?





View attachment 4294614

View attachment 4294621
View attachment 4294546
View attachment 4294547
can you send a full eye area pic.
 
understood , do you think considering my oclussion is good that I can get away with just a genio? (and get lets say atleast 70% of the aesthetic value for a fraction of the money/suffering)
Who’s the Orthadontists ur using
 

Similar threads

Z
Replies
5
Views
71
"Zsear*
Z
K
Replies
20
Views
244
BronzeSpartan2
BronzeSpartan2
A
Replies
7
Views
141
Anonymous8691
A
namszef
Replies
5
Views
140
Arhcie
Arhcie
B
Replies
38
Views
484
abdullah23k
abdullah23k

Users who are viewing this thread

Back
Top