Genioplasty vs DJS, second opinion has spun me.

A

a_jwashed

Iron
Joined
Jan 27, 2026
Posts
7
Reputation
3
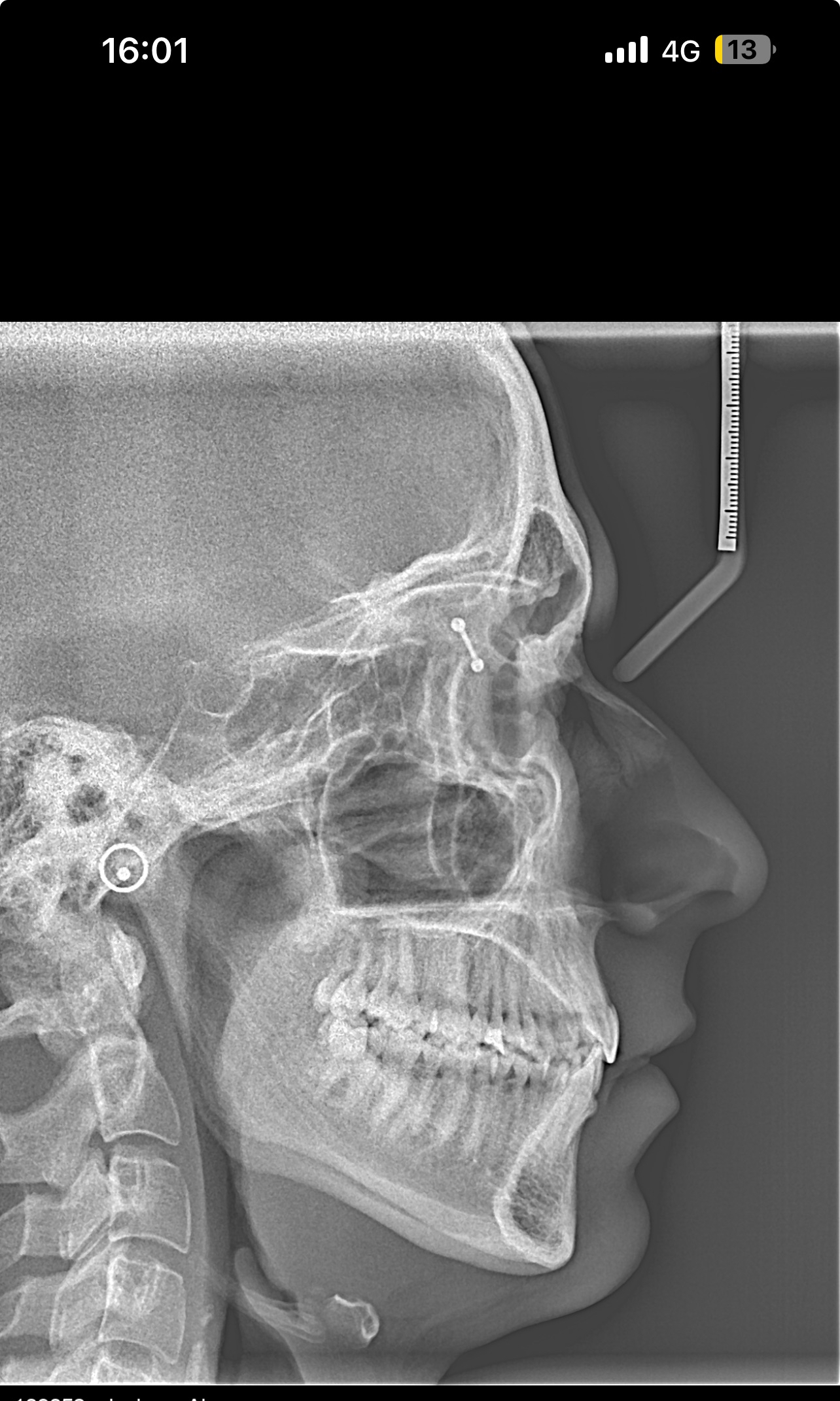
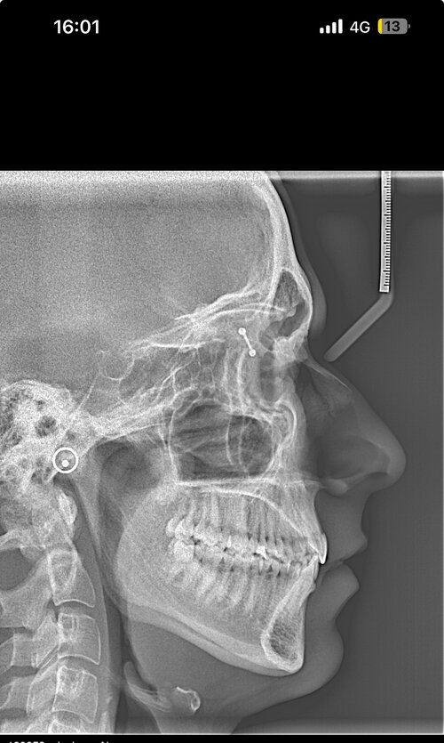
Hello, I’m looking for advice on genioplasty vs DJS. I was planned for a genio 7mm horizontal and squaring of chin on may 11th. I got a second opinion because I thought the oralmaxillofacila surgeon doing my genio might have been downplaying my mandible/maxilla recession. The second opinion oomfs surgeon said that genio would only be a camouflage and for my high expectations, might disappoint me, and I’m starting to think it will. My midface is flat and my mandible from side profile looks short and awful. The problem I have is DJS is a huge commitment for a bigger gain in a year-year and a half time. It’s a lot to take in. But I really don’t want to live my whole life with recessed jaws, I don’t want a soft youthful boyish look especially because I’m getting into my mid 20s, I hate my side profile a lot. Genio will help but I’m extremely worried I’ll be really disappointed, and I can’t really go back if I commit. Looking for advice on if I should go with the genio, see improvement now (which I care a lot about) and get a rhino/septoplasty to fix my deviated septum and be capped by by midface/mandible recession but decently improved, or If I should look awful for another year and a half with braces and my current recession but have the functional and aesthetic benefit of djs at the end. I have extremely bad breathing issues especially during exercise and pretty bad sleep issues, but I don’t know how much to that is down to allergies/deviated septum as opposed to airway issues. I just don’t know what to do, I’ll include my ceph/ct scans and side/front profile photos, would really appreciate guidance on what to do, was thinking of frauding with filler for a year before getting djs, or getting real structural change through rhino braces and genio that would all be down within 7-9 months, thankyou .
 

Attachments

  • IMG_3956.jpeg
    IMG_3956.jpeg
    958.3 KB · Views: 0
  • IMG_3957.jpeg
    IMG_3957.jpeg
    594.2 KB · Views: 0
  • IMG_3952.jpeg
    IMG_3952.jpeg
    1.5 MB · Views: 0
  • IMG_3953.jpeg
    IMG_3953.jpeg
    1.7 MB · Views: 0
  • IMG_0339.png
    IMG_0339.png
    612.1 KB · Views: 0
  • IMG_9653.jpeg
    IMG_9653.jpeg
    1 MB · Views: 0
  • IMG_9654.jpeg
    IMG_9654.jpeg
    1.1 MB · Views: 0
  • IMG_9655.jpeg
    IMG_9655.jpeg
    1.2 MB · Views: 0
  • IMG_9658.jpeg
    IMG_9658.jpeg
    1.1 MB · Views: 0
  • IMG_9657.jpeg
    IMG_9657.jpeg
    1.1 MB · Views: 0
  • IMG_9656.jpeg
    IMG_9656.jpeg
    1.1 MB · Views: 0
  • IMG_9652.jpeg
    IMG_9652.jpeg
    1 MB · Views: 0
  • IMG_5983.jpeg
    IMG_5983.jpeg
    1 MB · Views: 0
  • IMG_5557.jpeg
    IMG_5557.jpeg
    1.1 MB · Views: 0
  • IMG_5559.jpeg
    IMG_5559.jpeg
    1.1 MB · Views: 0
  • IMG_5149.jpeg
    IMG_5149.jpeg
    1.1 MB · Views: 0
  • IMG_5379.jpeg
    IMG_5379.jpeg
    866.6 KB · Views: 0
  • IMG_5414.jpeg
    IMG_5414.jpeg
    833.8 KB · Views: 0
  • IMG_5500.jpeg
    IMG_5500.jpeg
    827.8 KB · Views: 0
  • IMG_5897.jpeg
    IMG_5897.jpeg
    581.2 KB · Views: 0
  • +1
Reactions: Lookologist003 and cheekbonesforlife

Similar threads

H
Replies
12
Views
106
lurking truecel
lurking truecel
murad.89
Replies
2
Views
8
murad.89
murad.89
R
Replies
2
Views
68
richardascension
R
R
Replies
3
Views
79
goku21
goku21
A
Replies
0
Views
66
AnastPal67
A

Users who are viewing this thread

Back
Top