GOT MY XRAYS... WHAT DO YOU GUYS THINK?

lefort3cel

lefort3cel

Iron
Joined
Oct 19, 2023
Posts
148
Reputation
158
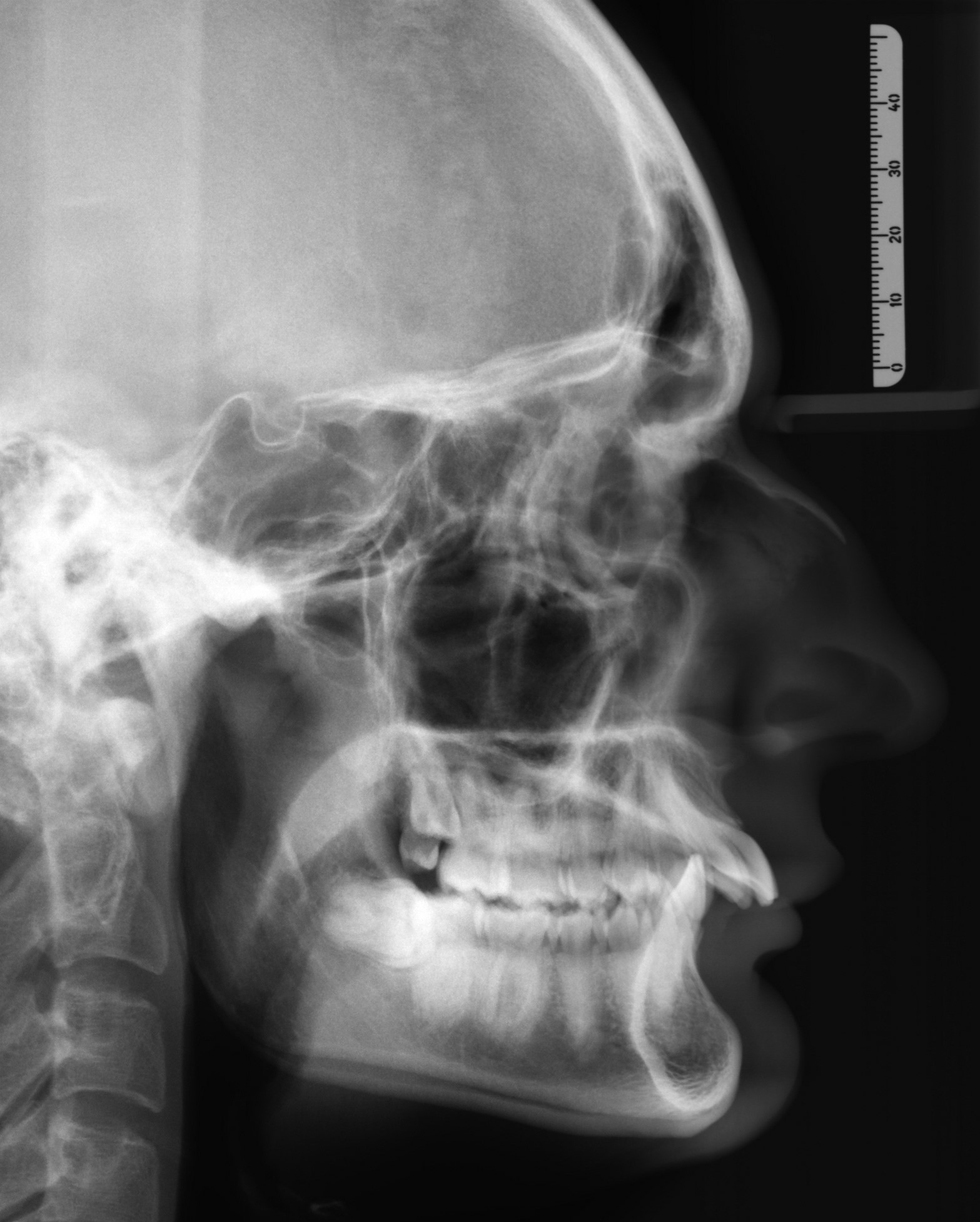
I believe I would benefit from a cw rotation + advancement of the maxilla and advancement of the mandible. Thankfully the severe overjet can be treated with braces alone, who knows, my bite may be decompensated enough that I dont even need braces after lol... anyway, my occlusion plane is way too flat, it even curves upwards it seems. Thankfully I am not downgrown, as downswung jaws are usually irrepairable even after surgery. what do you guys think?
 

Attachments

  • XRAYS.jpg
    XRAYS.jpg
    363.3 KB · Views: 0
  • JFL
Reactions: Octavian_Augustus and LooksThinker
I believe I would benefit from a cw rotation + advancement of the maxilla and advancement of the mandible. Thankfully the severe overjet can be treated with braces alone, who knows, my bite may be decompensated enough that I dont even need braces after lol... anyway, my occlusion plane is way too flat, it even curves upwards it seems. Thankfully I am not downgrown, as downswung jaws are usually irrepairable even after surgery. what do you guys think?
1703112168185
 
  • +1
  • JFL
Reactions: curriemaxxer, m0ss26, JoeSchmoe12 and 1 other person
no way its real
 

Similar threads

Whatsamaxilla__
Replies
23
Views
226
jester
jester
Herald420
Replies
8
Views
447
geenk worg
geenk worg
///FORTY6IX
Replies
28
Views
679
///FORTY6IX
///FORTY6IX
Dhariel Orlando
Replies
7
Views
122
kisslessvirgin
K

Users who are viewing this thread

Back
Top