Is being a teethcel legit?

Deleted member 8846

Deleted member 8846

aspie rotter
Joined
Aug 4, 2020
Posts
1,963
Reputation
2,699
Can you have a good face but slightly crooked and fucked up teeth making you an incel?

INB4 Ramirez
 
  • +1
  • JFL
Reactions: Deleted member 15778, Deleted member 5875 and Adreyan
Teeth are a relatively easy fix. Often even insurance covered. In a lot of cases teethcel = volcel

If you have vertical maxillary deficiency like me however and you hardly even see my teeth when I smile, and need very expensive and invasive surgery to fix it, it's over
 
  • +1
Reactions: Deleted member 15778, johncruz12345, magnificentcel and 11 others
Teeth are a relatively easy fix. Often even insurance covered. In a lot of cases teethcel = volcel

If you have vertical maxillary deficiency like me however and you hardly even see my teeth when I smile, and need very expensive and invasive surgery to fix it, it's over
Idk my teeth are pretty decent. I have a few slightly crooked ones though which makes it look like I have gaps whenever I fully close my bite. It looks nasty asf
 
Last edited:
Braces and veeners are legit. But yeah, should not have much of a problem if you don't have them as shitty as British, Japanese & Australian. Jfl
Yaeba
 
  • +1
  • Ugh..
Reactions: johncruz12345 and Deleted member 8846
Its legit. Bad teeth not onky effect your smile but also your ability to eat/ talk in public and your self image.

I personally was affected badly from having a croked teeth in middle school
 
  • +1
  • Love it
Reactions: johncruz12345, IdiAmin, Deleted member 7098 and 3 others
Having bad teeth won’t necessarily bring you down, but it’s not ideal
 
  • +1
Reactions: WadlowMaxxing and Deleted member 8846
Teeth are a relatively easy fix. Often even insurance covered. In a lot of cases teethcel = volcel

If you have vertical maxillary deficiency like me however and you hardly even see my teeth when I smile, and need very expensive and invasive surgery to fix it, it's over
Smile device maxx if you have sfs, worked for me 97C60BD6 1719 4778 8B67 FC7433F06453
 
  • JFL
  • +1
  • Hmm...
Reactions: Deleted member 15778, IdiAmin, Deleted member 7098 and 4 others
Braces and veeners are legit. But yeah, should not have much of a problem if you don't have them as shitty as British, Japanese & Australian. Jfl
View attachment 875182
Luckily I have WHITE crooked teeth. Crooked yellow teeth is smeagolcel
 
  • JFL
  • +1
  • Love it
Reactions: Patient A, Deleted member 6403, intovoid and 1 other person
  • JFL
  • +1
Reactions: here and Adreyan
Teeth are a relatively easy fix. Often even insurance covered. In a lot of cases teethcel = volcel

If you have vertical maxillary deficiency like me however and you hardly even see my teeth when I smile, and need very expensive and invasive surgery to fix it, it's over
Bruh I'm 18 and it's not insurance covered here. I'll have to pay for it all 100% from my future wagecuck walllet
 
Last edited:
Bruh I'm 18 and it's not insurance covered here. I have to pay for it all 100% out of my future wagecuck walllet
Are your parents willing to pay? For things like fixing teeth that's quite typical
 
Teeth are a relatively easy fix. Often even insurance covered. In a lot of cases teethcel = volcel

If you have vertical maxillary deficiency like me however and you hardly even see my teeth when I smile, and need very expensive and invasive surgery to fix it, it's over
My bitch ass fucking insurance didn't cover my braces
 
  • +1
Reactions: Deleted member 8846
i literally left a 17 year old blonde hot PAWG because i couldn't stand her small rat teeth. was such a big turn off even though the pussy was bomb and ass and tits were huge
1608387476734



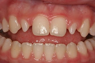
see a dentist if you don't have teeth like this:
1608387646107
 
Last edited:
  • +1
Reactions: johncruz12345, oatmeal, amorfati and 1 other person
Crooked teeth signal bad maxillary development. They came together with the sfs bundle for me and, holy moly, what a disgusting bundle.
 
  • +1
Reactions: Need2Ascend, Deleted member 7098 and Deleted member 8846
James Brown said that the man needs good hair and good teeth
 
  • +1
Reactions: Gonthar
i literally left a 17 year old blonde hot PAWG because i couldn't stand her small rat teeth. was such a big turn off even though the pussy was bomb and ass and tits were huge
View attachment 878723


see a dentist if you don't have teeth like this:
View attachment 878728
Even Cavill and plenty of good looking people don't have teeth that are that white and perfectly aligned
 
Even Cavill and plenty of good looking people don't have teeth that are that white and perfectly aligned
those are literally my teeth and you're $20 away from achieving the same whiteness


 
  • Love it
Reactions: oatmeal
those are literally my teeth and you're $20 away from achieving the same whiteness


mirin the nigga lips. you weren't capping after all
 
  • JFL
Reactions: Deleted member 7098
Teeth are a relatively easy fix. Often even insurance covered. In a lot of cases teethcel = volcel

If you have vertical maxillary deficiency like me however and you hardly even see my teeth when I smile, and need very expensive and invasive surgery to fix it, it's over
@Mastermind
Did you both get surgery to fix your vertical maxillary deficiency in the meantime, or what's your plan?
I'm still coping with facepulling from mse and it doesn't really look like I can escape bimax
 
Last edited:

Similar threads

hairpill33
Replies
8
Views
92
Outlander
Outlander
zygo_bones
Replies
14
Views
216
Regenerator
Regenerator
mtnuglyboy
Replies
27
Views
125
a1ad3nn
a1ad3nn
kai11
Replies
17
Views
159
kai11
kai11

Users who are viewing this thread

Back
Top