G
Growth Plate
Fire
- Joined
- Jan 10, 2021
- Posts
- 21,833
- Reputation
- 36,245
I'm black and have bimaxillary protrusion btw
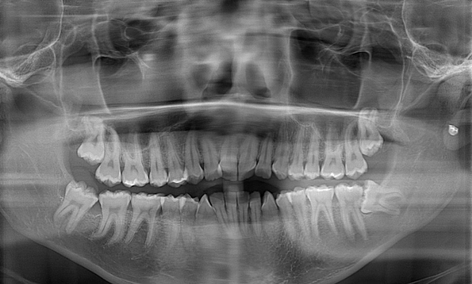
Yesterday I had 4 wisdom teeth extracted (2 upper 2 lower) because the Ortho (male) said I needed to before I can get braces.
In the photo you still see the wisdom teeth because it's an old X-ray
I got my 4 wisdoms pulled out and showed up ready to get braces but a different Ortho (female) than the last one says I either need to remove one premolar on the bottom or 4 premolars (2 upper and 2 lower) before I can completely get braces
I said let me get just 1 premolar removed but then she said she's gonna get 4 removed because it will produce a better result
The reason she is saying to remove the premolars is to fix my teeth protrusion and to create room to fix my crowding teeth
Should I be able to tell her that removing the premolars is not necessary and bad or is she right because she went to Orthodontics school for a decade?
Yesterday I had 4 wisdom teeth extracted (2 upper 2 lower) because the Ortho (male) said I needed to before I can get braces.
In the photo you still see the wisdom teeth because it's an old X-ray
I got my 4 wisdoms pulled out and showed up ready to get braces but a different Ortho (female) than the last one says I either need to remove one premolar on the bottom or 4 premolars (2 upper and 2 lower) before I can completely get braces
I said let me get just 1 premolar removed but then she said she's gonna get 4 removed because it will produce a better result
The reason she is saying to remove the premolars is to fix my teeth protrusion and to create room to fix my crowding teeth
Should I be able to tell her that removing the premolars is not necessary and bad or is she right because she went to Orthodontics school for a decade?
