Just Approved For Damon Braces - Will I Finally Ascend?!

D

Deleted member 32954

I am a changed person.
Joined
Jul 24, 2023
Posts
134
Reputation
150
I just got approved for Damon braces and I’m scheduled to get them on in two weeks. I’m pretty happy as my mouth is my biggest failo.

I am slightly recessed due to an 80% deep bite. However I have a wide palate, so thankfully there is no need for maxillary expansion, just a dental arch widening.

Some benefits my ortho said I could expect are:

- 10 tooth smile (I show barely 8)
- Teeth fitting into arch
- Easier to nose breathe
- Easier to properly swallow
- Easier to mew (tongue posture)
- Obvious teeth alignment. This will make my teeth form a straight line instead of curving up and down in the middle.
- Possible CCWR (not definite, and if there is it’s small)
- Make my lips wider
- Mandible will shift forward slightly.


My ortho is also decently blackpilled, and said that they place an emphasis on facial development and forward growth for teens and children.

I believe I could easily ascend 1-1.5 PSL if this is done correctly.

Now, for everyone who is similar to me, find a good ortho, not a Jewish dentist that will shill you Invisalign, and get Damon.

I’m attaching a before photo for anyone interested in my before/after progress.

I’m 15 right now, so hopefully mewing and chewing will save me. I might experiment with other methods on here to induce a CCWR.
 

Attachments

  • IMG_0968.jpeg
    IMG_0968.jpeg
    2.3 MB · Views: 0
  • +1
  • JFL
Reactions: svakpas, geenk worg, Deleted member 15484 and 1 other person
nigga i got them too and had the ideal braces journey it didnt do shit dont get ur hopes up
 
  • +1
Reactions: passionfruit5, ungewist, RAMU KAKA and 2 others
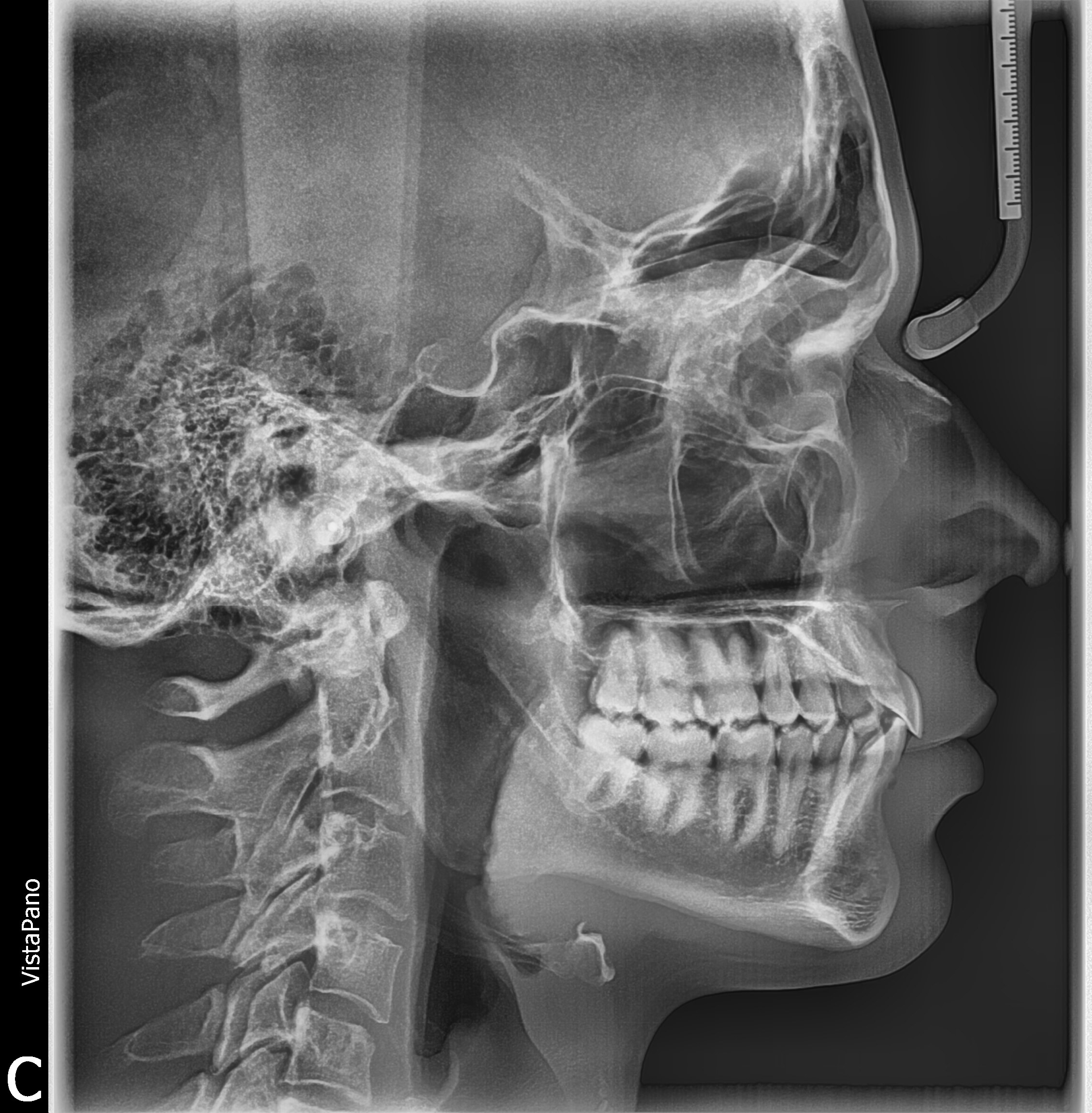
it seems your maxilla is sunken. i can tell by your nose
 
never heard of this what is it ?
 
Your x ray looks like mine
 
  • So Sad
Reactions: RAMU KAKA
it seems your maxilla is sunken. i can tell by your nose

I do have a recessed maxilla causing my mid face to look long. I am working on ways to fix this. Hopefully this is one of them.
 
  • +1
Reactions: Looksmaxxer25102005
like 2 or something. We got the same jew droopy shlong nose and 404 supras.View attachment 2410047

Strange. My nose only has a slight dorsal hump, it doesn't look very jewish in most photos. It certainly does look bigger than normal, but I think it's only because I am recessed.

Do you have any idea if this will be fixed or not? I am still in puberty.
 
Strange. My nose only has a slight dorsal hump, it doesn't look very jewish in most photos. It certainly does look bigger than normal, but I think it's only because I am recessed.

Do you have any idea if this will be fixed or not? I am still in puberty.

Jfl, you're right about orbitals. I have the word under eye support. :feelswhy: I'll fraud with volufiline once my face is done developing.
 
  • +1
Reactions: ungewist
Why so many people got steep oclussal plane? I have close to 0 degrees so kind of flat, is this genetic or just caused by recessed mandible for example?
 
Why so many people got steep oclussal plane? I have close to 0 degrees so kind of flat, is this genetic or just caused by recessed mandible for example?

Probably partly genetics and partly diet and mouth breathing. I was a mouth breather when I slept and for a good portion of my waking hours as a child. I'm sure this is the same for most other people.
 
Jfl, you're right about orbitals. I have the word under eye support. :feelswhy: I'll fraud with volufiline once my face is done developing.
I am sorry but you cannot “fraud” with volufiline. I applied it daily for over 6 months and it barely does shit. It equates to getting like 0.1 ml filler
 
  • +1
Reactions: Glacier
craniofacial dystrophy is brutal
 
  • +1
Reactions: Deleted member 26824
I am sorry but you cannot “fraud” with volufiline. I applied it daily for over 6 months and it barely does shit. It equates to getting like 0.1 ml filler

I think it’s legit tbh, but on a case by case basis.
 
never heard of this what is it ?
Braces that are a bit more advanced than normal braces in terms of effectiveness and duration of treatment. But in the end your orthonidsts skill and planning decides the outcome
 
do you happen to be jewish
 
Shit dude , i have Damon too , should I remove
 
  • +1
Reactions: ungewist
Do you have any idea if this will be fixed or not? I am still in puberty.
It would only grow more naturally, and braces would make it more hooked if they do anything
 
Do you have an x ray of an ideal side profile?
No. I've been trying to find one for ages, or like a CBCT of an actual chad, but apparently it's fucking impossible to find.
 
  • +1
Reactions: britishchadlite, inwardgonionscel and RAMU KAKA
No. I've been trying to find one for ages, or like a CBCT of an actual chad, but apparently it's fucking impossible to find.
Same lol i was just searching for one before replying to you tbh
 
No. I've been trying to find one for ages, or like a CBCT of an actual chad, but apparently it's fucking impossible to find.
Real chads never have the need for an X-ray, brutal
 
  • JFL
Reactions: Deleted member 19957
Hopefully but keep other procesures in mind if it doesnt
 
inivsalign is the next step in the braces evolution
 
No. I've been trying to find one for ages, or like a CBCT of an actual chad, but apparently it's fucking impossible to find.
Same, do a thread about it if you find one
 
Ah, watching the cycle of life of the beliefs of looksmaxxers... like observing monarch butterflies emerging from their chrysalis at the thousands, experiencing the exact same intricacies in the same order, unchanging, in a beautiful Sunday morning in a flower field. But less beautiful and more retarded
Sorry for your autism.
 
How has your treatment been with the Damon system? I'm also 15 years old like you, I don't know whether to wear braces or INVISALIGN.
 
How has your treatment been with the Damon system? I'm also 15 years old like you, I don't know whether to wear braces or INVISALIGN.
It's been alright. I'm about a month in and have noticed the obvious benefit of straighter teeth. They don't hurt, and I barely notice them now. I've also found that I don't salivate compared to my friends with traditional braces lol.

About Invisalign: I know they sometimes use elastics which is a problem (supposedly). It also may not expand the dental arch, which is Damon's main selling point. There is also an issue with cleaning, and SO many users have reported cavities, plaque, calculus, etc. due to having to brush and floss 24/7.

Now I can't speak much on the arch improvement as mine are still in the alignment/1st phase, and will begin to really notice around the 2nd-3rd. I am hopeful though, as my teeth have become A LOT straighter all around, and just need to be expanded. And it should hopefully fix my subhuman narrow mouth:feelswhy:

Here is where you can read more. It goes in detail about the phases and what not:
 

Similar threads

twxn10
Replies
21
Views
79
Jackson Wolfhart
J
J
Replies
8
Views
55
JacobSturm
J
justarandomsub5
Replies
5
Views
79
Tsl
Tsl
asddcnn
Replies
30
Views
120
smartfoiddestroyer2
smartfoiddestroyer2
ltnmtnhtnchadlitech
Replies
12
Views
94
Tsl
Tsl

Users who are viewing this thread

Back
Top