MSE + braces result

hopmop

hopmop

Iron
Joined
Nov 11, 2023
Posts
55
Reputation
28
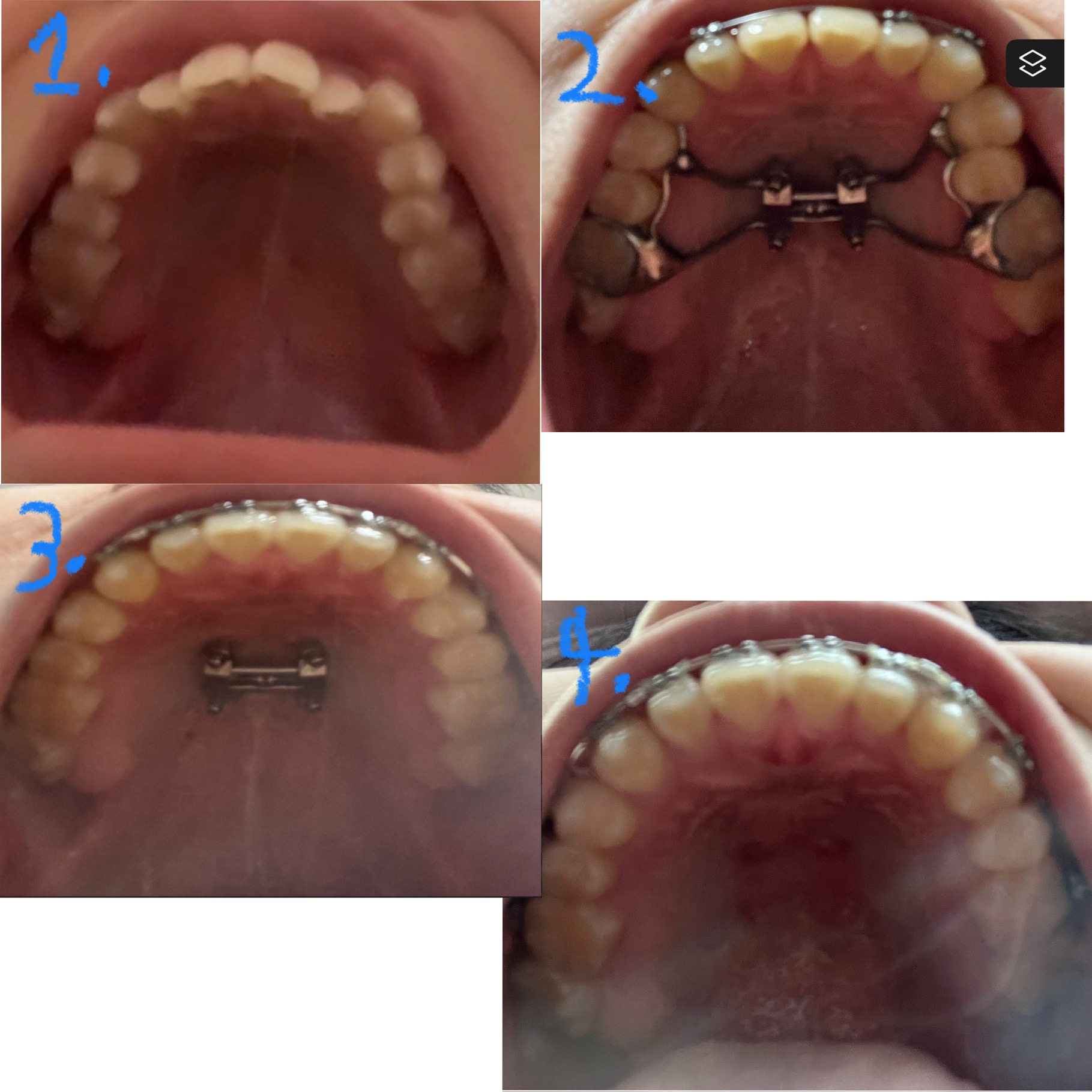
I got my MSE around a year and a half ago, recently having gotten the MSE removed. I don’t know how much I have expanded (in mms), but if anyone knows the expander model, I have expanded to the max limit (of turns) of the MSE. My braces and MSE was just a prerequisite for DJS and I will update again next month after I undertake it.
6F36B08D 8ED3 40A4 86ED C39C8BF743A3
 
  • +1
Reactions: starvemaxxkingkong
oh yeah that'll fit my cock a lot better now

Thank you.
 
  • +1
  • JFL
  • Hmm...
Reactions: idont, Iblame2023, Deleted member 284650 and 2 others
Mirin shit goood ass shit
 
  • +1
Reactions: hopmop
  • Love it
  • Woah
Reactions: Deleted member 284650 and Orka
I got my MSE around a year and a half ago, recently having gotten the MSE removed. I don’t know how much I have expanded (in mms), but if anyone knows the expander model, I have expanded to the max limit (of turns) of the MSE. My braces and MSE was just a prerequisite for DJS and I will update again next month after I undertake it.View attachment 4435272
check dms.
 

Similar threads

IcePretty
Replies
18
Views
234
IcePretty
IcePretty
D
Replies
47
Views
1K
dubz112
dubz112
Cormac McGeezack
Replies
2
Views
84
yurr burr
yurr burr
cutecel1337
Discussion MSE EXPANDER help
Replies
39
Views
745
goymaster
goymaster

Users who are viewing this thread

Back
Top