Should I go see a maxillofacial surgeon and drop my Invisalign?

D

Deleted member 17429

Kraken
Joined
Jan 25, 2022
Posts
3,651
Reputation
3,812
Quick stats:
16YO

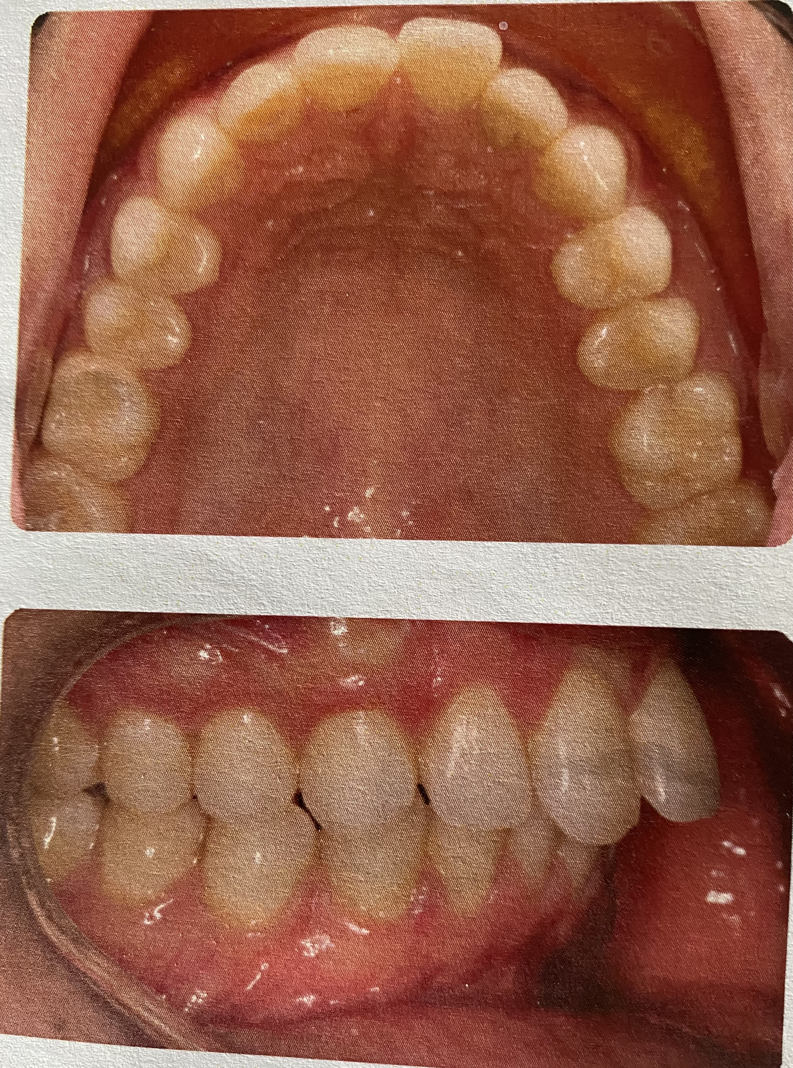
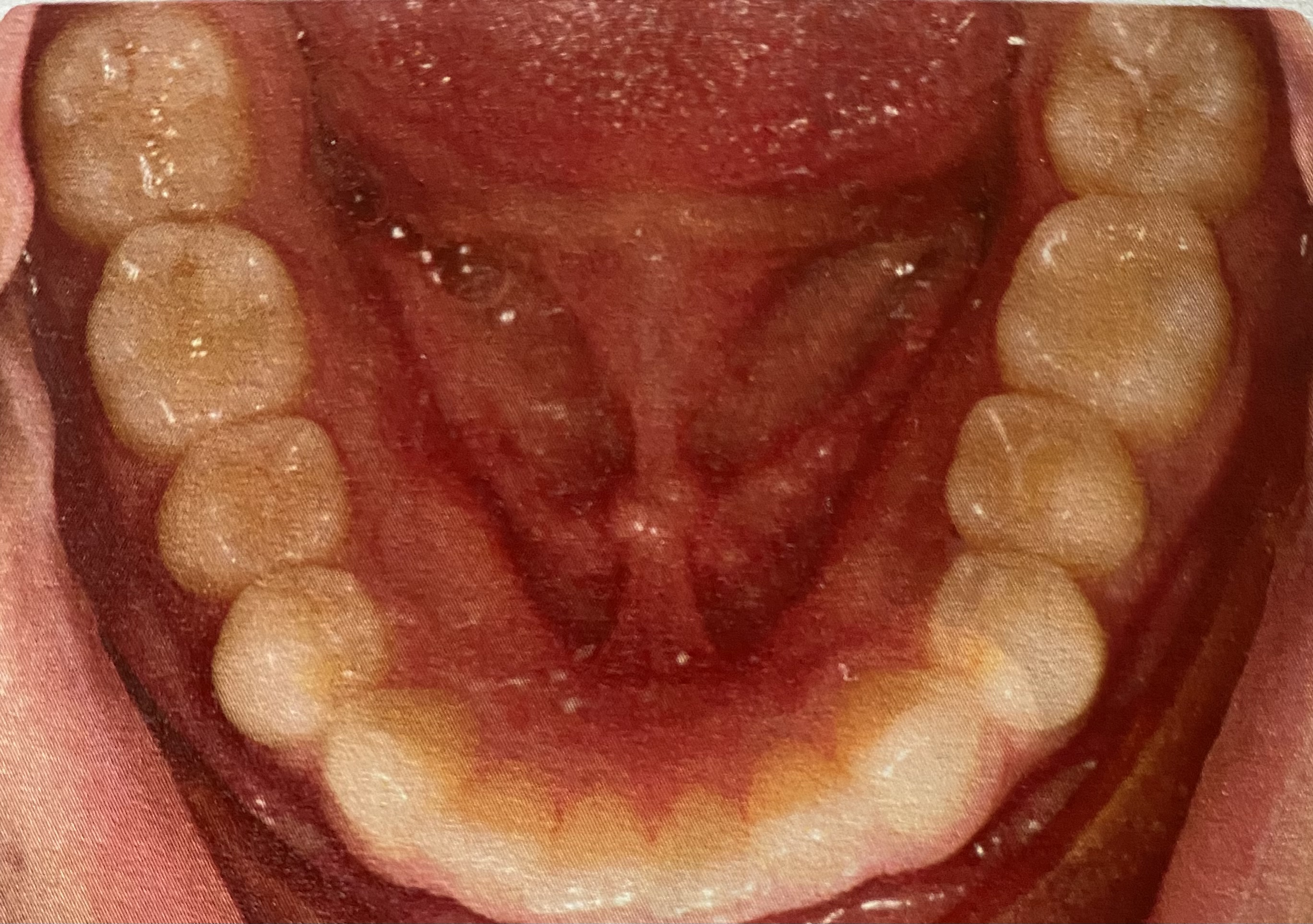
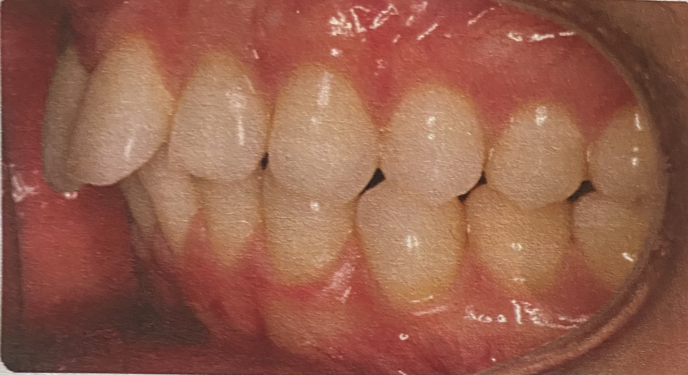
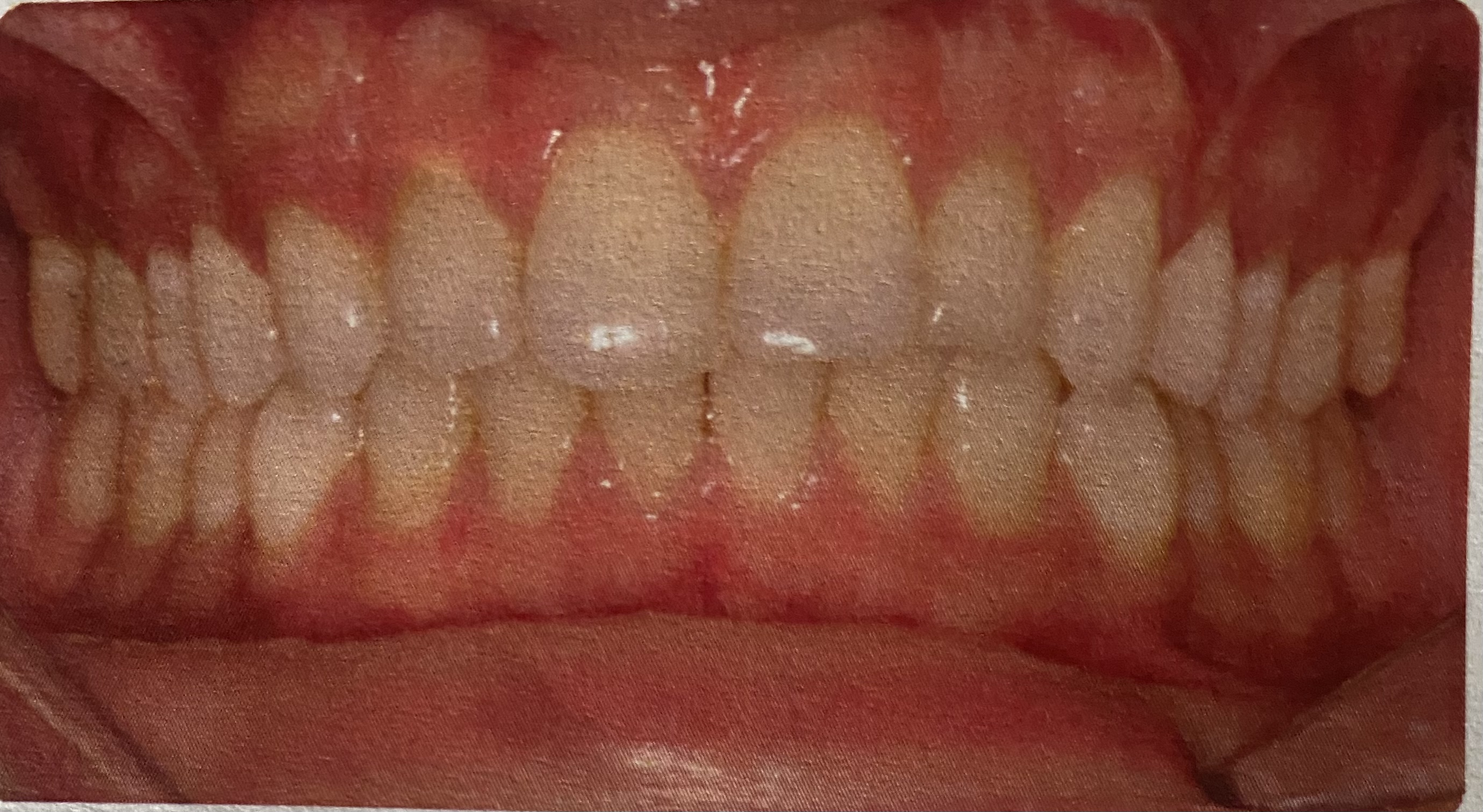
I have a class II maloccusion, aka overbite.
I was a bluepilled normie about 3-4 months ago and went to get Invisalign to fix this.
The orthodontist gave me rubber bands or elastics, and now after reading what I’ve seen on this forum I’ve been reconsidering it.


Should I go and see a maxillofacial surgeon instead of sticking with my invisalign? I rushed and spent 5000$ on this shit :feelswah:.

Photos of my bite attached;

BE1AAE10 339D 4EB8 BBF0 8B3F061A2102
1BB4E5A7 A6E0 4A51 9EFA A78DB1207B7A
9BE03439 460C 4480 8F66 EEC2D3BC9D5B
97FB01D8 3E29 40C1 A4C2 62AF11F7F722

 

Attachments

  • 1737D220-D542-4681-88E2-B59744D69181.jpeg
    1737D220-D542-4681-88E2-B59744D69181.jpeg
    1.9 MB · Views: 0
  • 75964D04-D8E8-43BF-A2BF-B3B3FAC702F8.jpeg
    75964D04-D8E8-43BF-A2BF-B3B3FAC702F8.jpeg
    2.9 MB · Views: 0
  • 00944B31-384F-4A64-ABF7-B94C8910A5DA.jpeg
    00944B31-384F-4A64-ABF7-B94C8910A5DA.jpeg
    1.9 MB · Views: 0
Last edited:
  • +1
Reactions: incel194012940
Now that I look at it I think that the elastics should be fine. After getting your bite fixed start chewing chios gum or resin to strengthen your chin.
 
Now that I look at it I think that the elastics should be fine. After getting your bite fixed start chewing chios gum or resin to strengthen your chin.
how does your mind explain chewing to “strengthen” a chin? lol
 
chewing causes bone remodeling in the skull and it can improve your chin area and eventually line up the jaw and upper jaw.
 
Even with your extremely proclined maxillary incisors, you still have a retrusive upper lip and large nasolabial angle. Once those teeth are uprighted following your treatment, that lip support will only decrease further.

Retrognathic mandible, skeletal Class II is apparent from the side profile.

Since you’re done growing for the most part (sometimes you’ll get a bit more late mandibular growth but not much), surgery would be the only option to correct that skeletal issue. Aligners would only fix the occlusion but not the facial aesthetics.

In this case the optimal treatment would be to correct the class II relationship surgically, by positioning the mandible more anteriorly, which would also correct much of your overjet and malocclusion. And then tipping those upper incisors backwards is a piece of cake with clear aligners.
 
Last edited:
Even with your extremely proclined maxillary incisors, you still have a retrusive upper lip and large nasolabial angle. Once those teeth are uprighted following your treatment, that lip support will only decrease further.

Retrognathic mandible, skeletal Class II is apparent from the side profile.

Since you’re done growing for the most part (sometimes you’ll get a bit more late mandibular growth but not much), surgery would be the only option to correct that skeletal issue. Aligners would only fix the occlusion but not the facial aesthetics.
will finish invisalign and update my before/after
i asked some knowledgeable users, and they said I wasn't recessed at all, just dental overbite.
don't really know what to believe anymore

if i'm still recessed, i don't mind surgery
 
  • +1
Reactions: incel194012940
Even with your extremely proclined maxillary incisors, you still have a retrusive upper lip and large nasolabial angle. Once those teeth are uprighted following your treatment, that lip support will only decrease further.

Retrognathic mandible, skeletal Class II is apparent from the side profile.

Since you’re done growing for the most part (sometimes you’ll get a bit more late mandibular growth but not much), surgery would be the only option to correct that skeletal issue. Aligners would only fix the occlusion but not the facial aesthetics.

In this case the optimal treatment would be to correct the class II relationship surgically, by positioning the mandible more anteriorly, which would also correct much of your overjet and malocclusion. And then tipping those upper incisors backwards is a piece of cake with clear aligners.
how come i look much better with my retainers in then? when I take them off i legit lose aesthetics
 
  • +1
Reactions: incel194012940
Order a consultation with atleast 2 different "blackpilled" maxillofacial surgeons, see what they have to say and then, decided on your own
 

Similar threads

M
Replies
19
Views
100
canthus5
C
buzzi
Replies
2
Views
27
buzzi
buzzi
Loser123.
Replies
17
Views
112
Loser123.
Loser123.
subhuman.random
Replies
3
Views
37
bdizzle1
bdizzle1

Users who are viewing this thread

Back
Top