Should I remove wisdom teeth? (X-RAY INCLUDED)

mogstars

mogstars

dont feel sorry for yourself
Joined
Aug 2, 2023
Posts
3,134
Reputation
3,720
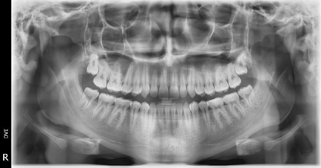
Since this forum has only high-IQ accomplished Indian doctors, should I remove my wisdom teeth based on this X-RAY?

1703085122207


Jewish dentists want them removed but I think its bullshit just like circumcision
 
your smile is so cute hehe :)
 
  • Love it
Reactions: mogstars
Dont listen to those jews. Only remove if causing pain
 
  • +1
Reactions: overtier1011 and mogstars

Similar threads

Jizzer
Replies
9
Views
138
Jizzer
Jizzer
gymcelled
Replies
4
Views
207
Deleted member 341240
D
ronluk
Replies
23
Views
185
ronluk
ronluk
aknox
Replies
7
Views
145
fedecope
fedecope
ChadL1te
Replies
10
Views
232
PoopyFaceTomatoNose
PoopyFaceTomatoNose

Users who are viewing this thread

Back
Top