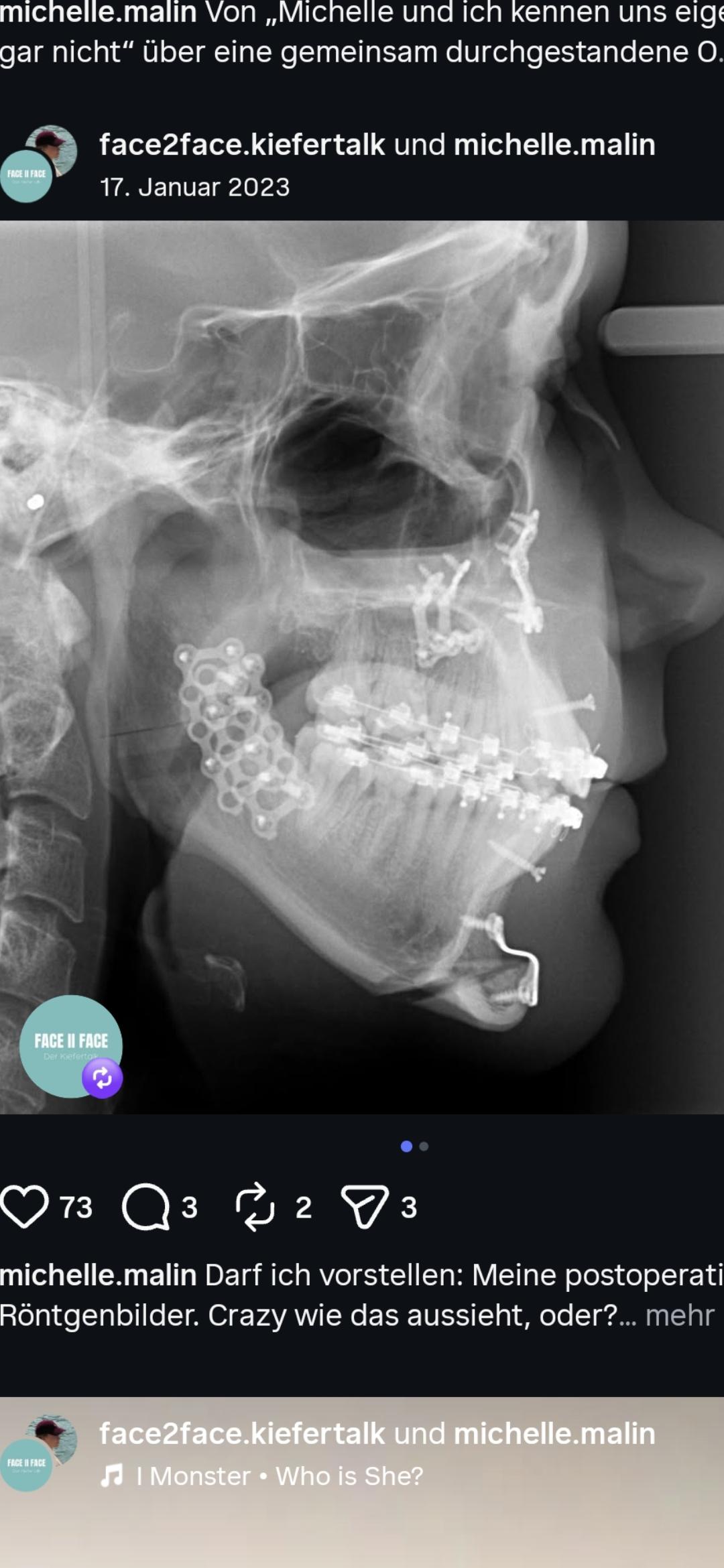
Where is the BSSO cut?

hopecel271

hopecel271

MTN -> HTN in 2026
Joined
Dec 31, 2025
Posts
766
Reputation
639
I can't see the lateral cut? There`s a large cut below the condyles above the ramus, but i can't see the lateral cut behind the bottom teethrow? Can someone explain this cut to me?
 

Attachments

  • Medien (10).jpg
    Medien (10).jpg
    178.6 KB · Views: 0
  • +1
Reactions: ICL
I can't see the lateral cut? There`s a large cut below the condyles above the ramus, but i can't see the lateral cut behind the bottom teethrow? Can someone explain this cut to me?
Looks like genio
 
retard iqlet nigga
Maybe they had an underbite before so they retruded the mandible to match the maxilla after lefort bc it looks like bimax/trimax
 

Similar threads

9diz
Replies
5
Views
162
Lexica
Lexica
I
Replies
9
Views
146
iana
I
hopecel271
Replies
19
Views
245
birthdefect
birthdefect
truecucker
Replies
31
Views
403
truecucker
truecucker

Users who are viewing this thread

Back
Top