How do I make my palate wider?

D

Deleted member 25715

Silver
Joined
Jan 19, 2023
Posts
701
Reputation
856
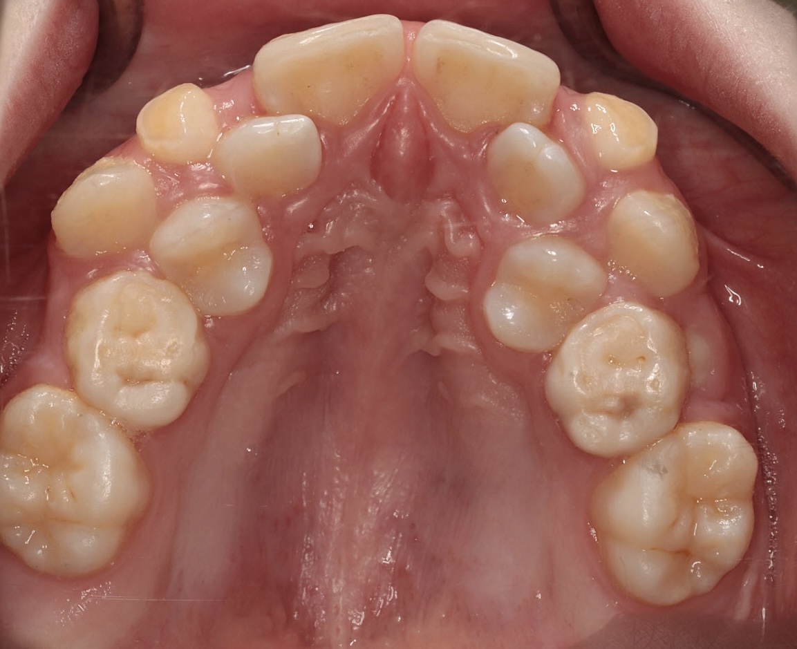
Will braces make my palate wider? Or should I keep mewing? Picture below

4C561EA2 7953 42CC A2E2 5CB29B3A9BC4
 
No palate expansion is needed. Shark teeth is a halo
 
  • Love it
Reactions: Deleted member 25715
That's what my mom tells me too
Just pay attention to what your mother tells you, you have to accept yourself as you are, as God made you. At the end of the day, we all have flaws.
 
  • Love it
Reactions: Deleted member 25715
God, you have worst teeth ever, you need braces and palate expander, talk to good ortho not the autists on this forum
 

Similar threads

tidds
Replies
4
Views
59
tidds
tidds
T
Replies
12
Views
82
tarrmac69
T
Sub5paintcel
Replies
9
Views
93
Sub5paintcel
Sub5paintcel
28sty
Replies
8
Views
65
Renophobeadoobe
Renophobeadoobe
jewfucker
Replies
9
Views
84
zzzakaa
zzzakaa

Users who are viewing this thread

Back
Top