Mandibular Osteotomies = Weaker Jaw

randomvanish

randomvanish

České srdce, otevřené všem!
Joined
Mar 20, 2020
Posts
13,076
Reputation
16,948
We had long discussions about implants can be problematic if you take impacts while having an implant in your face but we never talked about how weak your jaw will be after osteotomies.
Osteotomies are not superior to implants when it comes to impact effects on facial bones.


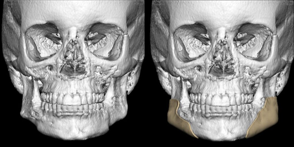
1-Weaken Jaw Due To Lengthen It

Look at these pictures for example. You will have longer, wider mandible with weak cut points. Those bones will attached due to healing with a thinner layer.
So if you take an impact from those points, it will more likely to have fractures, and we know jaws are easy to be fractured with strong impacts.
95 P315 i230

Screen Shot 2015 04 07 at 73645 PM

Adadsasad




2-Implants Vs. Mandibular Osteotomies

However, we know that jaw implants create bony layer over implants through the years. So basically your jaw will be stronger than ever.
FullSizeRender 2


Here is bony layer parts pointed especially on the angle part :
Maxresdefault

Only disadvantage that jaw implant can create that the bone resorption.



3-Studies About Bone Resoprtion


This study showed that, jaw angle implants has only 2 mm (at max) bone resorption, which is called implant settlement up to 20 years.



The normal bone resorption for people having age without implants is 0.05–0.13 mm annually. Because as we get older, our facial bones are getting smaller too due to enviromental changes and genetic process. Here is the study below :


Following studies show bone resorption levels on chin, jaw implants. No bone erosion, only bone resorpiton


CONCLUSION :
Implants create resorption on facial bones for sure but the only study we have shows that resorption don't exceed 2mm at worst.

However, we need furthermore, long studies to discuss if implants erode the bone itself through the years.
 
Last edited:
  • +1
Reactions: thecel, ChristianChad, Deleted member 7125 and 2 others
Thick skinned can get implants?
 
Do distraction osteogenesis on your jaws. Still you'll need implants because jaw surgery doesn't give you width.
 
  • +1
Reactions: beyourself
Do distraction osteogenesis on your jaws. Still you'll need implants because jaw surgery doesn't give you width.
it's not even a "thing" yet. which doctors will do that ? will it be effective ? i think that surgery needs 20~30 years before being regular treatment.
 
@RealSurgerymax @MoeZart @DatGuyYouLike @Lorsss @burner
 
  • +1
Reactions: Deleted member 7098
95% of us wont get punched in our jaws for our entire lives lol, so it shouldn't be the focal point of the surgical plan imo.

If you need forward growth bimax is the only way, implants are just icing on the cake, they cant ascend jaws really
 
  • +1
Reactions: ltn_looksminner, Deleted member 13710, Deleted member 7125 and 3 others
95% of us wont get punched in our jaws for our entire lives lol, so it shouldn't be the focal point of the surgical plan imo.

If you need forward growth bimax is the only way, implants are just icing on the cake, they cant ascend jaws really
this thread is created mainly discuss about impacts on face because some people think implants are dangerous in sports, fights etc.

ps : my chin is not recessed so i've never though getting bimax, for recession bimax is useful in that way.
 
  • +1
Reactions: Deleted member 7098 and Deleted member 4797
it's not even a "thing" yet. which doctors will do that ? will it be effective ? i
Its a thing. Doctors are doing it. Installing a distraction osteogenesis appliance on your jaw is not a big deal. They even have this shit in curryland.
Distraction-Osteogenesis-of-Mandible-5.ppm

Here's one for the lefort 1:
1-s2.0-S1073874609000401-gr3.jpg
 
  • +1
  • Woah
Reactions: Lorsss and Deleted member 7098
Its a thing. Doctors are doing it. Installing a distraction osteogenesis appliance on your jaw is not a big deal. They even have this shit in curryland.
Distraction-Osteogenesis-of-Mandible-5.ppm

Here's one for the lefort 1:
1-s2.0-S1073874609000401-gr3.jpg
yeah they are doing this for extreme cases. it's not available for mild recessions. you people are talking like lefort, d.o. is simple to get.
it's really not.
 
  • +1
Reactions: Deleted member 7098
@RealSurgerymax @MoeZart @DatGuyYouLike @Lorsss @burner
i recall eppley saying the same thing about the implant leaving a small imprint on the bone but that it‘s similar to loss of bonemass due to increasing age

but realistically how many people plan to get punched in the jaw frequently, would be interesting to see the different outcomes, sounds logical that a jaw with atrificially created weakpoints would be more prone to injury then a few mm of bonemass loss only at the covered area


also thanks for tagging, i enjoy reading good surgery related threads, especially regarding implants
 
  • +1
Reactions: randomvanish
yeah they are doing this for extreme cases. it's not available for mild recessions. you people are talking like lefort, d.o. is simple to get.
it's really not.
They are doing it for everyone.
 
95% of us wont get punched in our jaws for our entire lives lol, so it shouldn't be the focal point of the surgical plan imo.

If you need forward growth bimax is the only way, implants are just icing on the cake, they cant ascend jaws really
so you would rather get a bimax and chinwing than just an implant if you weren‘t recessed?

if you don‘t have any medical / breathing problems and aren‘t visibly recessed i think implants can do wonders
 
so you would rather get a bimax and chinwing than just an implant if you weren‘t recessed?

if you don‘t have any medical / breathing problems and aren‘t visibly recessed i think implants can do wonders
I think implants at the ramus look good, at the front of the jaw and chin they simply look fake to me, its just how it looks to my eyes.

If I wanted to rotate my mandibular plane angle, but wasn't recessed, I would do it with a long chin wing.

My situation, I had bimax so now I need ramus implants to drop down and add width at the back.
 
  • +1
Reactions: AscendingHero, Mongrelcel and Deleted member 7098
95% of us wont get punched in our jaws for our entire lives lol, so it shouldn't be the focal point of the surgical plan imo.

If you need forward growth bimax is the only way, implants are just icing on the cake, they cant ascend jaws really
i got punched this year on the street
never happened before :lul:
 

Similar threads

jjvfan
Replies
4
Views
580
goku21
goku21
Quatza33
Replies
18
Views
456
HubertSkeletrix
HubertSkeletrix
Adee
Replies
7
Views
525
Adee
Adee
F
Replies
6
Views
417
faasteey7
F

Users who are viewing this thread

Back
Top