Palate expander/surgery

f_ared

f_ared

Iron
Joined
Apr 12, 2026
Posts
6
Reputation
0
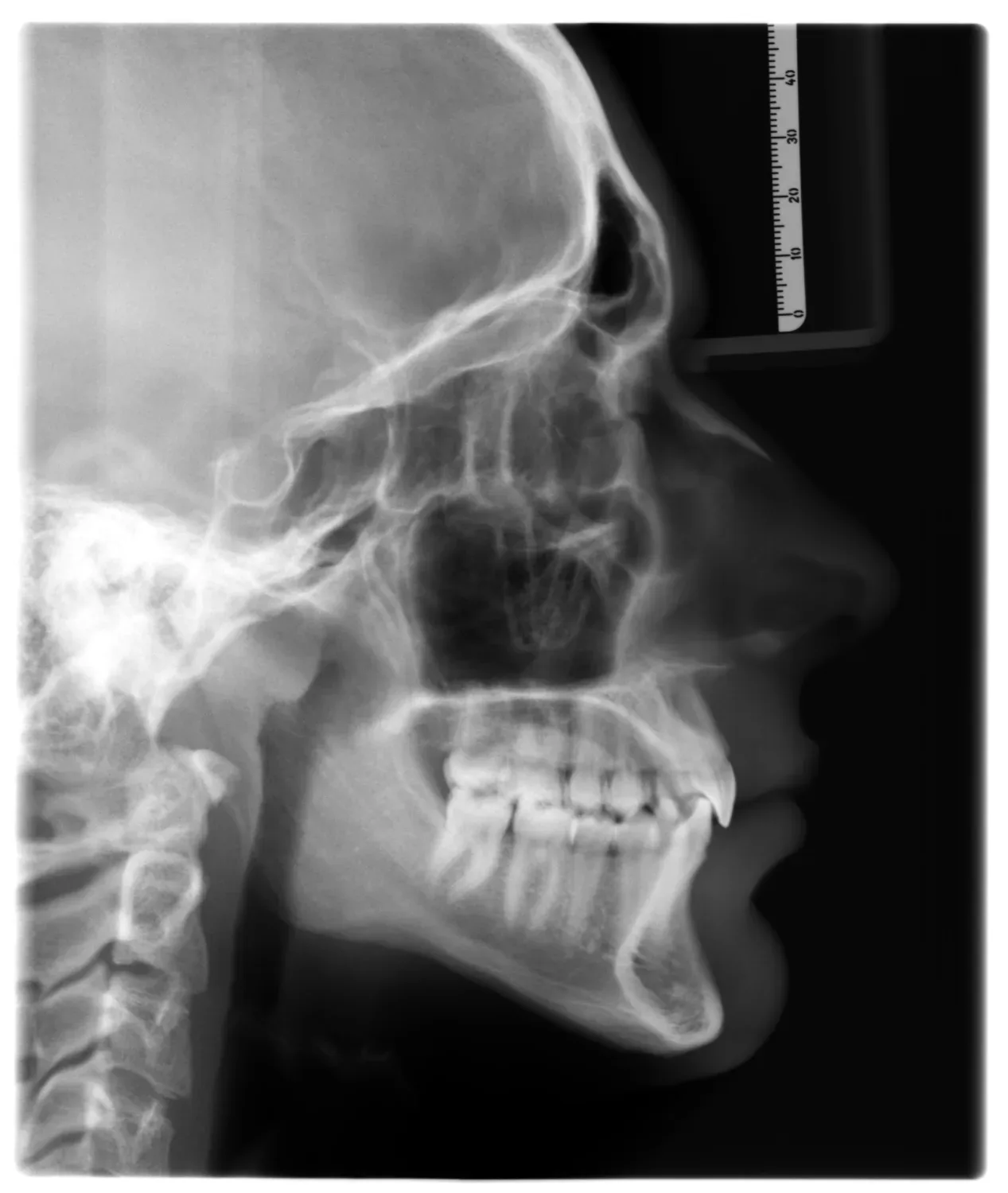
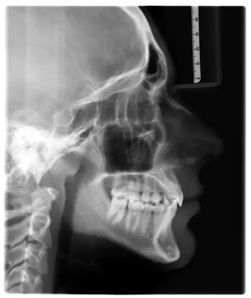
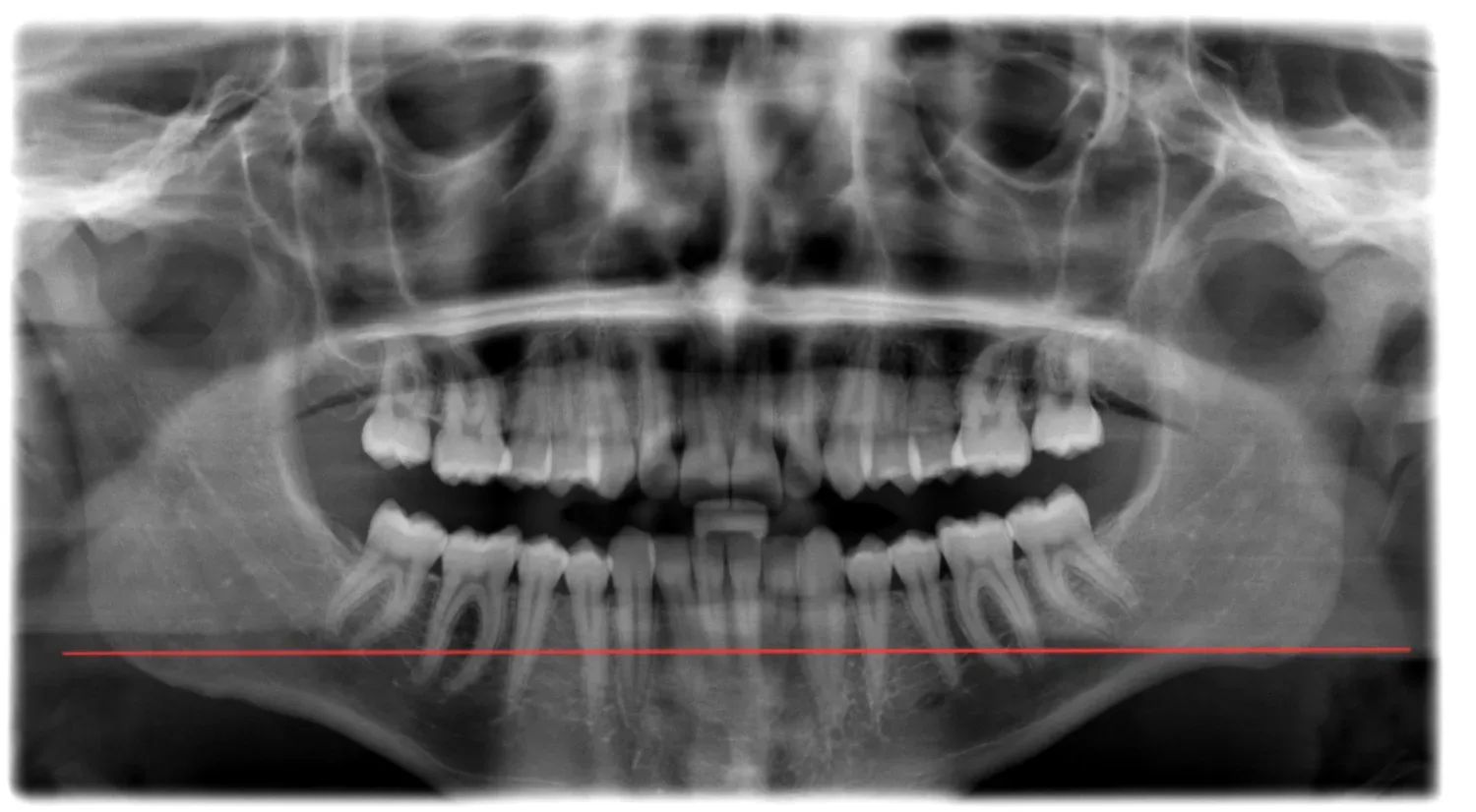
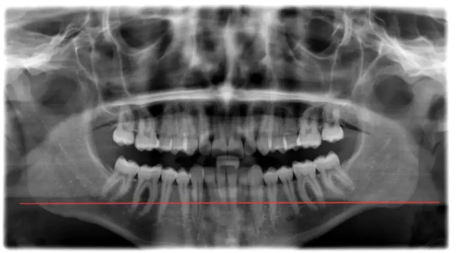
I’m 15.5 with noticeable jaw asymmetry - right ramus is longer than left and a slightly recessed lower jaw. My orthodontist said the it is skeletal and IF i want to correct it i may need jaw surgery (probably a bsso + genio) , but I haven’t been to a maxillofacial surgeon yet since i am 15 and my ortho said that there is no reason to go since they my jaw will still grow.



I’m am not really sure whether I should start braces NOW and get a palate expander (which my ortho said i will need to correct my crossbite and overbite which is likely what caused this, my parents said that they will fully pay for the surgery if i want it once i am 18) or wait until im closer to surgery since I’ll need braces again before and after the procedure anyway and get a palate expander at 18??



I also dont know if jaw asymmetry can get worse during the rest of puberty without treatment, or if it usually stays about the same.
My palate is also to small to properly mew.
 
Even though it doesnt look that bad in xrays in my opinion the assymetry is noticeable and bsso would benefit me, becouse of my pretty short ramus (atleast it apears so on my left side) and mandible reccession
 

Attachments

  • cmn4lge9r3zd9ybediq4xgt8m-1775816890827-eGxuenIPdwU3HRnftAOtrKqpRBbOUK.webp
    cmn4lge9r3zd9ybediq4xgt8m-1775816890827-eGxuenIPdwU3HRnftAOtrKqpRBbOUK.webp
    47.3 KB · Views: 0
  • cmn4lge9r3zd9ybediq4xgt8m-1775816892208-ZPm7XgnkiGKJjMrDq5nae1aDd45Mvn.webp
    cmn4lge9r3zd9ybediq4xgt8m-1775816892208-ZPm7XgnkiGKJjMrDq5nae1aDd45Mvn.webp
    42.2 KB · Views: 0

Similar threads

M
Replies
14
Views
135
mymaxillaisrecessed
M
J
Replies
5
Views
74
BrickNTS
BrickNTS
A
Replies
21
Views
97
Arshdog470
A
F
Replies
5
Views
96
cowmuncher26
cowmuncher26

Users who are viewing this thread

  • Back
    Top