*RESULTS* Pneumos teeth whitening guide before & after

BinPanda

BinPanda

Kittencel
Joined
Jun 29, 2024
Posts
612
Reputation
643
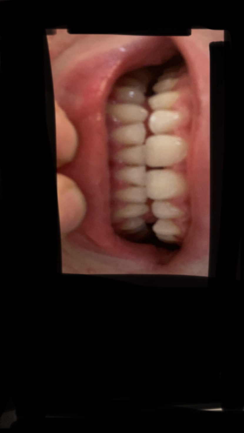
I did @pneumocystosis teeth widening guide. Went for 4x30 min rounds (4 because I didn’t use enough hydroperpxide in the first one). I used the
44% H2O2 gel by Laserglow.

I genetically always had yellow teeth even though I have very good oral care/health.
Sadly I didn’t get the results I hoped for, but still got noticeable results I think (pls don’t let me be delusional). I will do the whole procedure again tomorrow or the following week, but with 2x1hour rounds and see if that helps me to get better results.



!!!!PLS KEEP IN MIND THAT I ONLY HAVE YELLOW LIGHTNING/LAMPS. MY TEETH NORMALLY DONT LOOK THAT YELLOW!!!

Before:
698194E0 5ADC 4B26 B8AC 58C88DC809DC
4AF1B10C CC39 4019 87B7 CCB04A6BDE38
C79B74D1 4E17 40D8 89E5 F3268E8F7B62


After:
EE48DBAD C1B4 405D 9918 787725D17AD5
8A182CE6 FDE2 4111 BDD7 D4F1BEA78D7D


Note: Biggest struggle were the dry lips… I’m on 30mg isotretinoin rn so they are already dry af..


8FAA307E 5766 4B14 A5FC AE9394397408
 
Last edited:
  • +1
Reactions: RAMU KAKA, AverageCurryEnjoyer, Jungcuck and 4 others
it may be over
 
  • +1
Reactions: butteryfingers
Results look fine to me. Completely white teeth look uncanny and fake to me.
 
  • +1
Reactions: BinPanda
Results look fine to me. Completely white teeth look uncanny and fake to me.
Thanks
I still wanna go a shade lighter though but not like shining white teeth as it looks unnatural af
EC3B68DE 0411 4F02 8207 AA9057CDEE1D
 
  • +1
Reactions: WanderingBurro
Good thread Bahai
 
Good thread Bahai
Thanks:Comfy:
Btw like I said I did 2x45 min rounds more now they are white af, even in school I got asked if I got my teeth bleached (I said I did oilpulling jfl)
Photo:
76A50C2D 5E1B 4590 A4DC EE8B660750E0
like fr it maybe doesn’t look like that on the pic but they are white af
 
  • +1
Reactions: natralrivers, Deleted member 16636 and GeThinnerLookBetter
Thanks:Comfy:
Btw like I said I did 2x45 min rounds more now they are white af, even in school I got asked if I got my teeth bleached (I said I did oilpulling jfl)
Photo: View attachment 3153948 like fr it maybe doesn’t look like that on the pic but they are white af
Amazing bro, I was literally just about to order everything to also do this procedure. So you’d say its worth it right?
 
  • +1
Reactions: BinPanda
I did @pneumocystosis teeth widening guide. Went for 4x30 min rounds (4 because I didn’t use enough hydroperpxide in the first one). I used the
44% H2O2 gel by Laserglow.

I genetically always had yellow teeth even though I have very good oral care/health.
Sadly I didn’t get the results I hoped for, but still got noticeable results I think (pls don’t let me be delusional). I will do the whole procedure again tomorrow or the following week, but with 2x1hour rounds and see if that helps me to get better results.



!!!!PLS KEEP IN MIND THAT I ONLY HAVE YELLOW LIGHTNING/LAMPS. MY TEETH NORMALLY DONT LOOK THAT YELLOW!!!

Before:
View attachment 3139198View attachment 3139199View attachment 3139200

After:
View attachment 3139201View attachment 3139206

Note: Biggest struggle were the dry lips… I’m on 30mg isotretinoin rn so they are already dry af..


View attachment 3139213
good results
 
Amazing bro, I was literally just about to order everything to also do this procedure. So you’d say its worth it right?
100% I got fucking asked if I got them bleached professionally cause they are so white, but the unnatural white got away now, now it just looks like i have naturally very white teeth
 
  • Love it
  • +1
Reactions: SDPmaggot, Deleted member 16636 and Deleted member 77820
100% I got fucking asked if I got them bleached professionally cause they are so white, but the unnatural white got away now, now it just looks like i have naturally very white teeth
Did they brought that up them selfs? Naturally very white teeth mogs anyway
 
How much ml/syringes did you use for those two procedures?
 
Thanks:Comfy:
Btw like I said I did 2x45 min rounds more now they are white af, even in school I got asked if I got my teeth bleached (I said I did oilpulling jfl)
Photo: View attachment 3153948 like fr it maybe doesn’t look like that on the pic but they are white af
Was going to ask how your results were so shit despite using that strength, but they look good now.
 
  • +1
Reactions: Deleted member 95912
4353575 8FAA307E 5766 4B14 A5FC AE9394397408
 
  • Love it
Reactions: BinPanda
Did they brought that up them selfs? Naturally very white teeth mogs anyway
Yeah, I didn’t tell anyone besides my family, after getting asked in school by two friends I just larped as doing oilpulling
 
  • JFL
Reactions: GeThinnerLookBetter
I did @pneumocystosis teeth widening guide. Went for 4x30 min rounds (4 because I didn’t use enough hydroperpxide in the first one). I used the
44% H2O2 gel by Laserglow.

I genetically always had yellow teeth even though I have very good oral care/health.
Sadly I didn’t get the results I hoped for, but still got noticeable results I think (pls don’t let me be delusional). I will do the whole procedure again tomorrow or the following week, but with 2x1hour rounds and see if that helps me to get better results.



!!!!PLS KEEP IN MIND THAT I ONLY HAVE YELLOW LIGHTNING/LAMPS. MY TEETH NORMALLY DONT LOOK THAT YELLOW!!!

Before:
View attachment 3139198View attachment 3139199View attachment 3139200

After:
View attachment 3139201View attachment 3139206

Note: Biggest struggle were the dry lips… I’m on 30mg isotretinoin rn so they are already dry af..


View attachment 3139213
IMG 8945
IMG 8946

This is what I’m about to order, other than that would this be all I need for 2 procedures? (Except mirror + sunglasses obviously)
 
  • Woah
Reactions: SDPmaggot
Yeah, I didn’t tell anyone besides my family, after getting asked in school by two friends I just larped as doing oilpulling
Wild happy for you Bahai
 
  • +1
Reactions: BinPanda
How much ml/syringes did you use for those two procedures?
My hydroperoxide came in srynge form and I used about half of it, (but I wasted some as it was my first time and I did a few more procedures than recommended as my teeth are genetically yellow af before). My dental gum protector gel came in srynges aswell, I think I paid about 10€ for one pack (10srynges) and didn’t even fully use one
 
  • +1
Reactions: GeThinnerLookBetter
Was going to ask how your results were so shit despite using that strength, but they look good now.
Thanks, I think it’s because I messed up my first round and they were yellow af before. After doing some extra rounds they are white now as you see
 
  • +1
Reactions: GeThinnerLookBetter and Deleted member 16636
  • +1
Reactions: GeThinnerLookBetter
Sunglasses? Am I stupid cause why tf would u need them? If u don’t care about the money order ur dental gum protector and led light on laserglow, I ordered them on Ali express for like less than half the price
For the UV light was the idea, don’t really mind paying more I guess I can also get them for Ali but how long did shipping take though (from laserglow) if they ship fast I will buy everything from them.
 
For the UV light was the idea, don’t really mind paying more I guess I can also get them for Ali but how long did shipping take though (from laserglow) if they ship fast I will buy everything from them.
Ordering into the eu: my Laserglow order took a bit longer than my AliExpress order, but both came pretty fast. If I recall correctly it took about two week
 
  • +1
Reactions: GeThinnerLookBetter
Ordering into the eu: my Laserglow order took a bit longer than my AliExpress order, but both came pretty fast. If I recall correctly it took about two week
I’m getting my braces off by the end of this month so pretty hyped to have moggers teeth
 
  • Love it
Reactions: BinPanda
Sunglasses? Am I stupid cause why tf would u need them? If u don’t care about the money order ur dental gum protector and led light on laserglow, I ordered them on Ali express for like less than half the price
slide ho202 source
 

Similar threads

TomoIsLearning
Replies
9
Views
94
TomoIsLearning
TomoIsLearning
M
Replies
4
Views
109
craniofacialanatomy
craniofacialanatomy
dianaboldanny
Replies
11
Views
587
h828euw
H
crkl
Replies
28
Views
413
crkl
crkl
neuro.fb
Replies
4
Views
227
neuro.fb
neuro.fb

Users who are viewing this thread

Back
Top