Reversing pre molar extractions

ronluk

ronluk

(6’2.5) Finally bluepilled
Joined
Oct 21, 2025
Posts
669
Reputation
561
Hey as many of you here I am a victim of isreals greatest invention. Pre molar extraction/camouflage orthodontics.
After removing braces I noticed a smile that’s deeper in my face. Less tooth show uglier face and worsen symmetry alongside tmj on my right side. Now I don’t give a shit about health. I’m purely interested in restoring aesthetics. I’ve heard that bimax is gonna help but is it really? Then I’ve seen people who get braces again to create the space back and get premolar implants. Also seen people who do filler/implants. Obviously every case is different but I’m not really recessed and I have a convex profile which means my maxilla is projected al though my mandible is weak
 
IMG 7964

IMG 7721
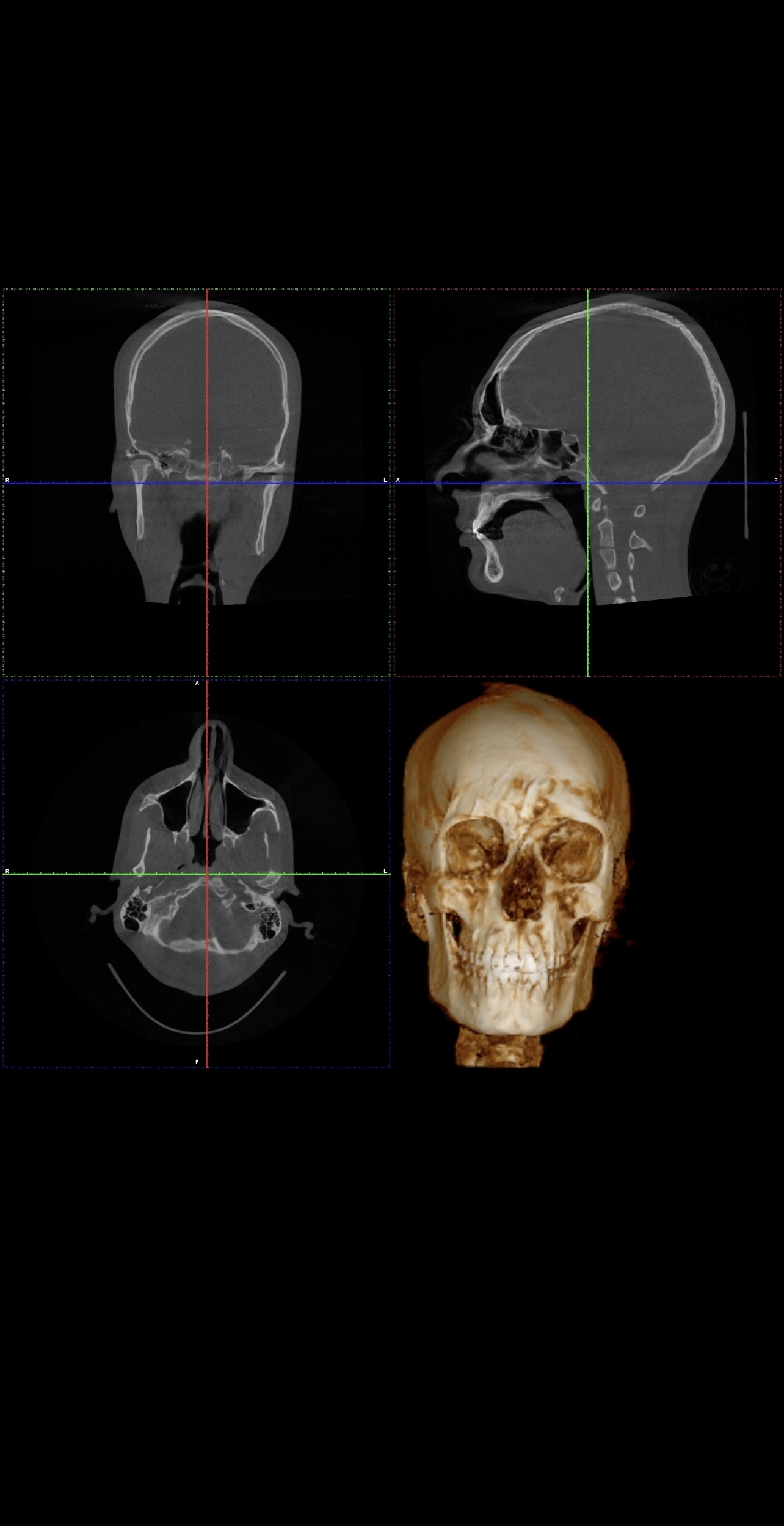
Ct scan for reference
 

Attachments

  • IMG_7722.jpeg
    IMG_7722.jpeg
    235 KB · Views: 0
Your mandible is recessed and your airway oropharynx cross section looks very small. Just imagine when you relax and lay down, your tongue goes back and blocks your airway even more.

Get a sleep study (preferably type 1 or 2, type 3 is bad) and consult a maxillofacial surgeon
 
Your mandible is recessed and your airway oropharynx cross section looks very small. Just imagine when you relax and lay down, your tongue goes back and blocks your airway even more.

Get a sleep study (preferably type 1 or 2, type 3 is bad) and consult a maxillofacial surgeon
Yes I know. I already been too a famous surgeon here but the price was too ridiculous. And he wanted to make my midface longer which is already long. Therefore I’m going with another surgeon.
 
The philtrum seems quite tall in the ct which may explain why your teeth show less. You have room for advancement in both jaws
 
The philtrum seems quite tall in the ct which may explain why your teeth show less. You have room for advancement in both jaws
Do I need decompression. I didn’t have an overbite before I started braces I just had crooked teeth
 
Do I need decompression. I didn’t have an overbite before I started braces I just had crooked teeth
I also removed 2 molars bro and I have an overbite I gotta get braces
 
  • +1
Reactions: ronluk
Do I need decompression. I didn’t have an overbite before I started braces I just had crooked teeth
Yes. Your lower front teeth are inclined forward
134722
 
  • +1
Reactions: ronluk
Yes. Your lower front teeth are inclined forward
View attachment 4974579
One more thing. Would you say my case is complicated enough to require a really safe western surgeon. Or can I get away with a random Serbian jaw surgeon. In geniunly considering going to Serbia because I have connections there
 
One more thing. Would you say my case is complicated enough to require a really safe western surgeon. Or can I get away with a random Serbian jaw surgeon. In geniunly considering going to Serbia because I have connections there
I don't know much about serbian surgeons
 
  • +1
Reactions: ronluk

Similar threads

snotdropper
Replies
30
Views
355
tyler1234
T
H
Replies
2
Views
139
IDontBlameAnybody
IDontBlameAnybody
HumanTitanium
Replies
10
Views
263
Buterman
Buterman
Whatever
Replies
6
Views
174
IDontBlameAnybody
IDontBlameAnybody

Users who are viewing this thread

  • looxmax
  • greatgeneral
  • purplehaze9174
Back
Top