Why MSE sucks, and turns you into a definitionless ape (better MSE theory)

With surgical assist to weaken the suture + a much more powerful expander. That makes even, parallel expansion possible.
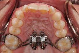
This is the MSE expander:
3042596_1661252221829.jpeg


This is the Power Expander:
Power-Expander.jpg


It doesn't take a genius to see that the MSE device is cucked in comparison.
MSE expands in a cone shaped pattern because of lack of surgical assist + weak, cucked expander. Power Expander/DS Xpander + surgical assist = even, parallel expansion, no need for anything else.

I think you may find this thread insteresting, read from this post onwards:
Looking at these faces, it seems a lot more is going on then what RPEcels think. you can see how the face looks all melted, deformed. Its like this fluid thing, not just a simple narrowness, or recession. I highly doubt anything from the RPE school of thought will truly ascend someone. Also EASE, achieves great maxilla expansion, and often does it with no diastema (mostly posterior) Yet you look at their before and afters and you dont see people ascending... FME is just now out and being run in irl cases, so that will be interesting to see but i'm assuming it will be more of the same.
 
  • +1
Reactions: futureashtray
Because an evenly split expansion of the palate will give you an uncanny and unaesthetic maxilla. It expands the front of the palate too much which widens the pyriform aperture unnaturally and gives you a monkey nose. Let's look at the conebeams of some MSE patients, shall we?

View attachment 2169928
View attachment 2169929
View attachment 2169930
View attachment 2169934

These do not look like normal skulls, the pyriform aperture becomes like a gaped asshole!!!


A naturally wide palate is not as wide towards the front which is why I prepared this illustration:

View attachment 2169959
Ignore the position of the teeth and look at the actual bone. The MSE expands too much near the anterior nasal spine which is not how a naturally wide and well-developed palate is. This causes the aperture to widen and for the cheekbones to not get pushed forward much if at all. To get a naturally looking harmonious result you would need to expand more near the POSTERIOR NASAL SPINE than MSE. The problem is that you need something more like THIS:

View attachment 2169970

This modified MSE would also be superior because it would push the cheekbones FORWARD more rather than just widening them and would push the pyriform aperture OUTWARD but not widen it, leading to better paranasal support. You'd need 2 expanders placed, one at the front of the mouth, and one at the back, or an expander which flanged and rotated outward.
almost every mse b4 and after ive seen has the "natural" palate. i do agree with the expansion ratio at the back though, would be much more effective. doesn't EASE do something like this?
 
  • +1
Reactions: SeriousAscension
almost every mse b4 and after ive seen has the "natural" palate. i do agree with the expansion ratio at the back though, would be much more effective. doesn't EASE do something like this?
Yes in some cases EASE achieves more posterior expansion
 
  • +1
Reactions: Deleted member 52345
Because an evenly split expansion of the palate will give you an uncanny and unaesthetic maxilla. It expands the front of the palate too much which widens the pyriform aperture unnaturally and gives you a monkey nose. Let's look at the conebeams of some MSE patients, shall we?

View attachment 2169928
View attachment 2169929
View attachment 2169930
View attachment 2169934

These do not look like normal skulls, the pyriform aperture becomes like a gaped asshole!!!


A naturally wide palate is not as wide towards the front which is why I prepared this illustration:

View attachment 2169959
Ignore the position of the teeth and look at the actual bone. The MSE expands too much near the anterior nasal spine which is not how a naturally wide and well-developed palate is. This causes the aperture to widen and for the cheekbones to not get pushed forward much if at all. To get a naturally looking harmonious result you would need to expand more near the POSTERIOR NASAL SPINE than MSE. The problem is that you need something more like THIS:

View attachment 2169970

This modified MSE would also be superior because it would push the cheekbones FORWARD more rather than just widening them and would push the pyriform aperture OUTWARD but not widen it, leading to better paranasal support. You'd need 2 expanders placed, one at the front of the mouth, and one at the back, or an expander which flanged and rotated outward.
High iq thread
 
  • +1
Reactions: SeriousAscension
Because an evenly split expansion of the palate will give you an uncanny and unaesthetic maxilla. It expands the front of the palate too much which widens the pyriform aperture unnaturally and gives you a monkey nose. Let's look at the conebeams of some MSE patients, shall we?

View attachment 2169928
View attachment 2169929
View attachment 2169930
View attachment 2169934

These do not look like normal skulls, the pyriform aperture becomes like a gaped asshole!!!


A naturally wide palate is not as wide towards the front which is why I prepared this illustration:

View attachment 2169959
Ignore the position of the teeth and look at the actual bone. The MSE expands too much near the anterior nasal spine which is not how a naturally wide and well-developed palate is. This causes the aperture to widen and for the cheekbones to not get pushed forward much if at all. To get a naturally looking harmonious result you would need to expand more near the POSTERIOR NASAL SPINE than MSE. The problem is that you need something more like THIS:

View attachment 2169970

This modified MSE would also be superior because it would push the cheekbones FORWARD more rather than just widening them and would push the pyriform aperture OUTWARD but not widen it, leading to better paranasal support. You'd need 2 expanders placed, one at the front of the mouth, and one at the back, or an expander which flanged and rotated outward.
just push ur palate with ur thumb to make it wider lol
 
thumb pull then
 
True. Only surgically assisted BAME (Bone Anchored Maxillary Expanders) can achieve even expansion and avoid nose widening.
For those who already have decent palate width but narrow arches, SFOT/PAAO are very convenient and can give up to 10mm of stable dental arch expansion, with impeccable results (even expansion too).
10mm of stable arch expansion.

Can you expand on this? Tried having SFOT with some mentally deficient periodontist that couldn't even answer this about their own procedure

When this is done - you pack bone on the arches - and you "expand" the teeth due to there being more buccal bone are you just torquing the teeth outwards or moving them *laterally* into the new bone burning through the prior buccal bone

This is an important distinction.
 
water thread, that's just the shape that the tongue makes from mewing at an early age
 
  • +1
Reactions: futureashtray
Thinking partial MSE (3.5-4.5mm) + angled expansion with something like the Nitanium Palate Expander2 could improve aesthetics for a small palate. I think if the front of the palate is lacking width, then some MSE expansion could be useful, but a seperate device could be used afterwards for back-dominant expansion.
 
First and foremost, great thread

Would you mind explaining more, do you have any visuals to depict this?


Explain how widening versus moving the pyiform aperture "outward" is different and how the latter leads to be paranasal support?

How does more PNS expansion lead to ADVANCEMENT of the maxilla?
a78097afa378de884e6a59deb304cda66e585d3a555974434acda62a806c771f




The answer to all of this would be a custom made bone anchored expander, facegenics for example is tailored made for maxillary /midfacial expansion
OP never realized that after expansion once there was enough room for the tongue because of the widened arches, you could finally DEVELOP and MAINTAIN proper oral habits (mewing)

and once you can mew without restrictions, forward growth is inevitable
 
  • JFL
Reactions: Meister!
ancient gigachad skull still has a smaller nasal aperture than MSE chimps

View attachment 2634431

Best case MSE is an "even" split, still unaesthetic, still unnatural compared to the actual growth of the palate, which is wider at the back and tapers. Even using palatal expanders in children with much more malleable bones often looks like shit and gives them retarded looking bell pepper noses. A normal dental arch is an ARCH. MSE will, best case (the prized 1:1 expansion), give you a more trapezoidal shape @ccwarrior

View attachment 2634442
Your facial development is over. You're not going to get a lefort 3 by getting mse/custom mse/fme and jelqing your midface forward with bollard plates or the facemask, the facebow, whatever. Even if you break the sutures attaching the maxilla/zygoma/frontal bone, you are limited by the pterygoid plate, and that's a hard limit even if you could (and will, if you do break the sutures) get some movement of the upper midface. If you get protraction it will be minimal and with the compromise of blowing out your nasal aperture. And how do you know those sutures will even break, and how will it be done reliably, symmetrically, etc? Settle, accept it's over, grieve with the reality of your situation, then get bimax with a segmental lefort 1 and maybe a midface implant and infras if you're still unhappy with how your trash orbitals and midface look recessed. Or go crazy, accept no compromises, accept the risks, and get a lefort 3 with @RealSurgerymax

If you need palatal expansion, segmental lefort 1. Current expanders will make you look worse. Until there are expanders that expand more at the posterior nasal spine than the anterior nasal spine (as in my idea that I have outlined in this thread) all these expanders will be is a looksmin in adults and even teenagers.

If you're a teen, stop reading mewing copes, get crypto, then blast HGH and test and hope it saves your birdcel bones and puts some mass on your cheekbones and mandible while your face is still developing so the rest of your face doesn't look as retarded when you get LF1 later. If you're done growing, cope with implants or say fuck it and somehow get LF2/LF3. And thank me for so graciously saving your face unlike mike mew, mewcels, reddit, and orthos that all lied to you.

Maybe someday we'll have the perfect robotic surgery that cuts all the sutures in your face minimally invasively so you can easily distract with a protraction device for serious results. As far as devices, I would be surprised if a device that's just anchored to your palate like a typical MSE would be able to do that. By the time something like that comes out that sidesteps these limitations, you'll be an oldcel.

It would be like a 5'4 manlet several decades ago wanting LL and waiting until he's 40 for the internal fixator to be invented. You have to deal with the reality of your options instead of dreaming about fantastical solutions and as a result falling for inferior ones.

If you really want the airway benefits because you're so subhuman you constantly gasp for breath due to your tiny airway, do a couple mm max before it rapes your entire midface aesthetically.

If there is way to reliably expand more posteriorly, it's more worth consideration. Less of an aesthetic hit and better for expanding the nasopharynx. Hopefully something like this will come soon, then some of my criticism is nullified (not the part about protraction though) as it would be good for nasal breathing, occlusion, and perhaps slightly gaining some cheekbone definition. But even so, the aesthetic benefits would be rather minimal. However, if enough people ask for it, I think there could be a market for it.
hmm, i wonder why the arch is shaped that way like a "U"...

maybe its because IF HUMANS WOULD ACTUALLY HOLD PROPER TONGUE POSTURE THE ARCHES WOULD DEVELOP THE "U" SHAPE BECAUSE THE FUCKING TONGUE IS "U" SHAPED

anyway yea, mse will expand but it wont automatically give you a perfect "U", thankfully we have a tongue and braces

lol bro forgot about braces, when braces are literally the standard procedure right after expansion

still, i like that whole wall of text that rapes me with with pure pessimistic and blackpill thought
 
Last edited:
True. Only surgically assisted BAME (Bone Anchored Maxillary Expanders) can achieve even expansion and avoid nose widening.
For those who already have decent palate width but narrow arches, SFOT/PAAO are very convenient and can give up to 10mm of stable dental arch expansion, with impeccable results (even expansion too).
Any good photo results? I'd love to combine both but limit nostril/pyiform expansion at least on a soft tissue level and hopefully theres something more effective than SOFT out there man
 

Similar threads

IcePretty
Replies
18
Views
232
IcePretty
IcePretty
pslgod15
Replies
16
Views
690
pslgod15
pslgod15
lahari
Replies
26
Views
739
lahari
lahari
urs
Replies
36
Views
508
dabigV
dabigV
SpectrumAesthetics3
Replies
274
Views
7K
SpectrumAesthetics3
SpectrumAesthetics3

Users who are viewing this thread

Back
Top