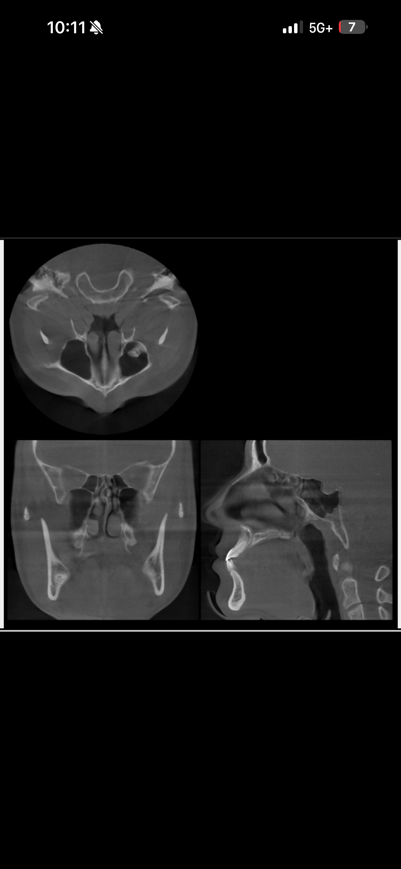
CBT scan do I have proper tongue posture?

6’1Chink

6’1Chink

Bronze
Joined
May 2, 2020
Posts
456
Reputation
395
This is a CBT Scan I did a couple years back. Based on this results do I have proper tongue posture? I’m definitely looking into getting my septum deviation corrected.
IMG 6552
 
yeah man posting the same exact thing again will yield different results
 

Similar threads

jamo.org
Replies
22
Views
180
tokyo01010
tokyo01010
S
Replies
4
Views
69
martinwombr
M
R
  • Question
Replies
2
Views
74
raconeater21
R
M
Replies
2
Views
61
MLGS0LD1ERB0Y
MLGS0LD1ERB0Y
6’1Chink
Replies
2
Views
93
Rylie
Rylie

Users who are viewing this thread

Back
Top