💀 Maxilla: Difference Between Recessed and Flat, Explained with 3D Animations

thecel

thecel

morph king
Joined
May 16, 2020
Posts
26,098
Reputation
56,877
Maxillary Protrusion and Retrusion

Maxillary protrusion and retrusion is how anteriorly positioned your palate is in relation to your neurocranium.

Forwardness compress


Whether a maxilla is recessed or not recessed depends on the relationship between the positions of the palate, eyes, and mandible. And the space in the airway.

Recessed maxilla indicators:
  • Negative orbital vector
  • Nasolabial folds
  • Retrognathic profile
  • Underbite (class III malocclusion)
  • Teeth look inwardly set when smiling
Recessed maxilla can cause functional health issues such as tooth wear (in class III malocclusion), airway constriction (can cause sleep apnea), and speech problems.



Maxillary 3Dness and Flatness

Maxillary “3D”ness is an aesthetic look that comes from:
  • anterior projection of the paranasal area, nasal sill, anterior nasal spine, and pyriform aperture
  • backwardly-angled zygomatic processes of the maxilla (the “connecting wings” that border the zygos) making the midface look fox-like as opposed to pancake

Flatness compress


Unlike protrusion/retrusion, 3Dness/flatness is an entirely aesthetic feature and has no bearing on health.

3Dness/flatness is closely related to the orbitomaxillary plane angle. More about that here:




Examples

Guide3


The gorilla maxilla shows the difference between forward-grownness and 3Dness. The gorilla maxilla is extremely forward-protruding, but it’s flat as fuck, literally flatter than an Asian maxilla:

Gorilla skull science source


The human maxilla’s teeth are more retracted and tucked under the eyes, but the shape of the central maxilla is much less flat:

Frontal process of maxilla  Gray154




Mew Cope

Mouth breathing and shit oral posture can make the maxilla grow improperly, but that has to do with positioning (protrusion/retrusion) only. Mewing from birth would’ve done absolutely nothing for your maxilla’s 3Dness/flatness.
 
Last edited:
  • +1
  • Love it
  • So Sad
Reactions: inceliusndius, Micrognathic, Detective and 98 others
Here before BOTB :feelswhat:
 
  • +1
  • JFL
Reactions: Deleted member 288890, landyn, TACOCEL_ and 14 others
Maxillary Protrusion and Retrusion

Maxillary protrusion and retrusion is how anteriorly positioned your palate is in relation to your neurocranium.

View attachment 4199761

Whether a maxilla is recessed or not recessed depends on the relationship between the positions of the palate, the eyes, and the mandible.

Recessed maxilla indicators:
  • Negative orbital vector
  • Nasolabial folds
  • Retrognathic profile
  • Underbite (class III malocclusion)
  • Teeth look inwardly set when smiling
Recessed maxilla can cause functional health issues such as tooth wear (in class III malocclusion) and airway constriction (can cause sleep apnea).



Maxillary 3Dness and Flatness

Maxillary “3D”ness is an aesthetic look that comes from:
  • anterior projection of the paranasal area, nasal sill, anterior nasal spine, and pyriform aperture
  • backwardly-angled zygomatic processes of the maxilla (the “connecting wings” that border the zygos) making the midface look fox-like as opposed to pancake

View attachment 4199878

Unlike protrusion/retrusion, 3Dness/flatness is an entirely aesthetic feature and has no bearing on health.

3Dness/flatness is closely related to the orbitomaxillary plane angle. More about that here:




Examples

View attachment 4199869

The gorilla maxilla shows the difference between forward-grownness and 3Dness. The gorilla maxilla is extremely forward-protruding, but it’s flat as fuck, literally flatter than an Asian maxilla:

View attachment 4199953

The human maxilla’s teeth are more retracted and tucked under the eyes, but the shape of the central maxilla is much less flat:

View attachment 4199961
i hate my asian flat maxilla :feelswhy:
 
  • So Sad
  • JFL
  • +1
Reactions: bugeye, VampyrMaxx, chitarine and 8 others
good thread :Comfy:
 
  • +1
Reactions: VampyrMaxx, Deleted member 159785, \/orman and 2 others
1760224583877
Reptilian forward growth or death
 
  • JFL
  • +1
  • Love it
Reactions: Detective, bugeye, Deleted member 288890 and 15 others
Been sayin ts

flat does not mean recessed

that word get thrown around too much imo
 
  • +1
Reactions: bugeye, zetaboiahh007, HYBRID and 12 others
good thread tho
 
  • +1
Reactions: CorinthianLOX, Deleted member 159785, thecel and 2 others
Inb4 botb
 
  • +1
  • Woah
Reactions: 59H390, CorinthianLOX, Deleted member 159785 and 1 other person
niggas nowadays don't even specify they just call everyone recessed without second thought
 
  • +1
  • Woah
Reactions: blamejewsjfl, bugeye, jacob62 and 6 others
another 3d model banger from thecel :fire:
 
  • +1
  • Love it
Reactions: landyn, Deleted member 159785 and thecel
horrible thread dnr
 
  • +1
  • JFL
  • WTF
Reactions: browncurrycel, Deleted member 159785 and thecel
flat AND recessed is brutal :feelswhy:
 
  • +1
  • JFL
Reactions: St.TikTokcel, refz75, VampyrMaxx and 3 others
Maxillary Protrusion and Retrusion

Maxillary protrusion and retrusion is how anteriorly positioned your palate is in relation to your neurocranium.

View attachment 4199761

Whether a maxilla is recessed or not recessed depends on the relationship between the positions of the palate, eyes, and mandible. And the space in the airway.

Recessed maxilla indicators:
  • Negative orbital vector
  • Nasolabial folds
  • Retrognathic profile
  • Underbite (class III malocclusion)
  • Teeth look inwardly set when smiling
Recessed maxilla can cause functional health issues such as tooth wear (in class III malocclusion), airway constriction (can cause sleep apnea), and speech problems.



Maxillary 3Dness and Flatness

Maxillary “3D”ness is an aesthetic look that comes from:
  • anterior projection of the paranasal area, nasal sill, anterior nasal spine, and pyriform aperture
  • backwardly-angled zygomatic processes of the maxilla (the “connecting wings” that border the zygos) making the midface look fox-like as opposed to pancake

View attachment 4199878

Unlike protrusion/retrusion, 3Dness/flatness is an entirely aesthetic feature and has no bearing on health.

3Dness/flatness is closely related to the orbitomaxillary plane angle. More about that here:




Examples

View attachment 4199869

The gorilla maxilla shows the difference between forward-grownness and 3Dness. The gorilla maxilla is extremely forward-protruding, but it’s flat as fuck, literally flatter than an Asian maxilla:

View attachment 4199953

The human maxilla’s teeth are more retracted and tucked under the eyes, but the shape of the central maxilla is much less flat:

View attachment 4199961



Mew Cope

Mouth breathing and shit oral posture can make the maxilla grow improperly, but that has to do with positioning (protrusion/retrusion) only. Mewing from birth would’ve done absolutely nothing for your maxilla’s 3Dness/flatness.
what do i have of those?
 
Maxillary Protrusion and Retrusion

Maxillary protrusion and retrusion is how anteriorly positioned your palate is in relation to your neurocranium.

View attachment 4199761

Whether a maxilla is recessed or not recessed depends on the relationship between the positions of the palate, eyes, and mandible. And the space in the airway.

Recessed maxilla indicators:
  • Negative orbital vector
  • Nasolabial folds
  • Retrognathic profile
  • Underbite (class III malocclusion)
  • Teeth look inwardly set when smiling
Recessed maxilla can cause functional health issues such as tooth wear (in class III malocclusion), airway constriction (can cause sleep apnea), and speech problems.



Maxillary 3Dness and Flatness

Maxillary “3D”ness is an aesthetic look that comes from:
  • anterior projection of the paranasal area, nasal sill, anterior nasal spine, and pyriform aperture
  • backwardly-angled zygomatic processes of the maxilla (the “connecting wings” that border the zygos) making the midface look fox-like as opposed to pancake

View attachment 4199878

Unlike protrusion/retrusion, 3Dness/flatness is an entirely aesthetic feature and has no bearing on health.

3Dness/flatness is closely related to the orbitomaxillary plane angle. More about that here:




Examples

View attachment 4199869

The gorilla maxilla shows the difference between forward-grownness and 3Dness. The gorilla maxilla is extremely forward-protruding, but it’s flat as fuck, literally flatter than an Asian maxilla:

View attachment 4199953

The human maxilla’s teeth are more retracted and tucked under the eyes, but the shape of the central maxilla is much less flat:

View attachment 4199961



Mew Cope

Mouth breathing and shit oral posture can make the maxilla grow improperly, but that has to do with positioning (protrusion/retrusion) only. Mewing from birth would’ve done absolutely nothing for your maxilla’s 3Dness/flatness.
you forgot frankfurt plant to measure every picture accuratly
 
  • +1
Reactions: thecel
IMG 8118


what kind of maxilla does robert pattinson have?
 
  • +1
Reactions: Reiatsu, thecel and \/orman
i have no maxilla
 
  • So Sad
Reactions: thecel
5185287 1753657690493
4206706 1719069173237
2629002 david gandy 2 z
what do gandy have?
 
  • +1
  • JFL
Reactions: Htautistgymmaxx, browncurrycel and thecel
Lovely thread. The size of your palate has to do with the maximum forward growth that your skull can or could have achieved. I appreciate that you are setting definitions. I'll use the terms flat and recessed and defer to this thread for clarity. These definitions are like yours about downsung and downgrown jaws. Interesting...
...On the topic of improving from downswung jaws, I think the more foward grown the maxilla is as defined ITT, the worse downswung jaws will look and the more impactful it will be to get those jaws rotated.

So what would be 'dogged' forward growth in your opinion? Because there is too much of a good thing. Doctors call it maxilary prognathism IIRC. Mine is that if the mollars overshoot the 'wings' that's dogged. This does relate to the statement about palate size I made above. If your palate is very short, it's over. Your pallete length should be roughly an equal or greater size to the distance between your tragus and the 'wings', I think. It should look like a parraellogram.

Mouth breathing and shit oral posture can make the maxilla grow improperly, but that has to do with positioning (protrusion/retrusion) only. Mewing from birth would’ve done absolutely nothing for your maxilla’s 3Dness/flatness.
You're probably correct, but you're killing the hope of the many celish teenagers.
Probably correct. Maybe @AscendingHero would know something about the patterns of growth on the upper maxilla.

@mandiblade
@VampyrMaxx (STOP CHANGING YOUR ALIAS IF YOU WANT ME TO REMEMBER WHO YOU ARE, Nucleargeo)
@Foreverbrad
 
Last edited:
  • +1
Reactions: thecel, VampyrMaxx and Sicilian Cyclops
flat AND recessed is brutal :feelswhy:
Fully. Recessed is the greater of the brutal parts, though. To fix that there is no other way than surgeries that are more invasive than adding to the upper maxilla.

Might seeing what Looksmax looks like in the UK currently cheer you up? Imgur refuses to serve the UK because of that shitty Orwellian Online Saftey Act. All of the pepe emotes are censored to members living in the UK.
Screenshot 2025 10 12 at 22 13 17 3  Maxilla Difference Between Recessed and Flat Explained


I imagine soon I'll have to explain to police officers whom my ISP snitched to why I have visited this terrorist, misogynistic, suicide cult organisation 500 times this year.
 
  • JFL
  • Woah
Reactions: thecel, VampyrMaxx, Deleted member 159785 and 1 other person
@thecel why don't u do some cool shit and morph people's skulls in blender charging them for it so they know what surgeries to get? correct me if this is a bad idea idk how u would convert DICOM CBCT to blender but i saw Giant do it and i think you could do it well
 
  • +1
  • Woah
Reactions: Deleted member 131540, thecel and Deleted member 159785
Maxillary Protrusion and Retrusion

Maxillary protrusion and retrusion is how anteriorly positioned your palate is in relation to your neurocranium.

View attachment 4199761

Whether a maxilla is recessed or not recessed depends on the relationship between the positions of the palate, eyes, and mandible. And the space in the airway.

Recessed maxilla indicators:
  • Negative orbital vector
  • Nasolabial folds
  • Retrognathic profile
  • Underbite (class III malocclusion)
  • Teeth look inwardly set when smiling
Recessed maxilla can cause functional health issues such as tooth wear (in class III malocclusion), airway constriction (can cause sleep apnea), and speech problems.



Maxillary 3Dness and Flatness

Maxillary “3D”ness is an aesthetic look that comes from:
  • anterior projection of the paranasal area, nasal sill, anterior nasal spine, and pyriform aperture
  • backwardly-angled zygomatic processes of the maxilla (the “connecting wings” that border the zygos) making the midface look fox-like as opposed to pancake

View attachment 4199878

Unlike protrusion/retrusion, 3Dness/flatness is an entirely aesthetic feature and has no bearing on health.

3Dness/flatness is closely related to the orbitomaxillary plane angle. More about that here:




Examples

View attachment 4199869

The gorilla maxilla shows the difference between forward-grownness and 3Dness. The gorilla maxilla is extremely forward-protruding, but it’s flat as fuck, literally flatter than an Asian maxilla:

View attachment 4199953

The human maxilla’s teeth are more retracted and tucked under the eyes, but the shape of the central maxilla is much less flat:

View attachment 4199961



Mew Cope

Mouth breathing and shit oral posture can make the maxilla grow improperly, but that has to do with positioning (protrusion/retrusion) only. Mewing from birth would’ve done absolutely nothing for your maxilla’s 3Dness/flatness.
what surgeries can fix flat and or reccesed
 
  • +1
Reactions: thecel and Deleted member 159785
@thecel why don't u do some cool shit and morph people's skulls in blender charging them for it so they know what surgeries to get? correct me if this is a bad idea idk how u would convert DICOM CBCT to blender but i saw Giant do it and i think you could do it well
thecel would be good at it but he goes way too far with the advancments, he does like 50 mm advancements
 
  • +1
  • JFL
Reactions: yussimania, thecel and Deleted member 159785
i love how every single flat + recessed example
is of a gook:feelskek:
 
  • +1
  • JFL
  • So Sad
Reactions: Reiatsu, Semaglutide, \/orman and 8 others
Maxillary Protrusion and Retrusion

Maxillary protrusion and retrusion is how anteriorly positioned your palate is in relation to your neurocranium.

View attachment 4199761

Whether a maxilla is recessed or not recessed depends on the relationship between the positions of the palate, eyes, and mandible. And the space in the airway.

Recessed maxilla indicators:
  • Negative orbital vector
  • Nasolabial folds
  • Retrognathic profile
  • Underbite (class III malocclusion)
  • Teeth look inwardly set when smiling
Recessed maxilla can cause functional health issues such as tooth wear (in class III malocclusion), airway constriction (can cause sleep apnea), and speech problems.



Maxillary 3Dness and Flatness

Maxillary “3D”ness is an aesthetic look that comes from:
  • anterior projection of the paranasal area, nasal sill, anterior nasal spine, and pyriform aperture
  • backwardly-angled zygomatic processes of the maxilla (the “connecting wings” that border the zygos) making the midface look fox-like as opposed to pancake

View attachment 4199878

Unlike protrusion/retrusion, 3Dness/flatness is an entirely aesthetic feature and has no bearing on health.

3Dness/flatness is closely related to the orbitomaxillary plane angle. More about that here:




Examples

View attachment 4199869

The gorilla maxilla shows the difference between forward-grownness and 3Dness. The gorilla maxilla is extremely forward-protruding, but it’s flat as fuck, literally flatter than an Asian maxilla:

View attachment 4199953

The human maxilla’s teeth are more retracted and tucked under the eyes, but the shape of the central maxilla is much less flat:

View attachment 4199961



Mew Cope

Mouth breathing and shit oral posture can make the maxilla grow improperly, but that has to do with positioning (protrusion/retrusion) only. Mewing from birth would’ve done absolutely nothing for your maxilla’s 3Dness/flatness.

i aftuslly thoight mewing at the age if like 12 woukd actually make changes jfl
 
  • +1
Reactions: \/orman and Deleted member 159785
  • +1
Reactions: Zukiteru, \/orman, AscendingHero and 4 others
i love how every single flat + recessed example
is of a gook:feelskek:
which is why when there is one that isn't flat + recessed they're instantly slayers
 
  • +1
Reactions: moggerofhumanity, Reiatsu, Deleted member 131540 and 6 others
mirin at the high ef thread
 
  • +1
  • Woah
Reactions: \/orman, thecel, mr007 and 1 other person
Maxillary Protrusion and Retrusion

Maxillary protrusion and retrusion is how anteriorly positioned your palate is in relation to your neurocranium.

View attachment 4199761

Whether a maxilla is recessed or not recessed depends on the relationship between the positions of the palate, eyes, and mandible. And the space in the airway.

Recessed maxilla indicators:
  • Negative orbital vector
  • Nasolabial folds
  • Retrognathic profile
  • Underbite (class III malocclusion)
  • Teeth look inwardly set when smiling
Recessed maxilla can cause functional health issues such as tooth wear (in class III malocclusion), airway constriction (can cause sleep apnea), and speech problems.



Maxillary 3Dness and Flatness

Maxillary “3D”ness is an aesthetic look that comes from:
  • anterior projection of the paranasal area, nasal sill, anterior nasal spine, and pyriform aperture
  • backwardly-angled zygomatic processes of the maxilla (the “connecting wings” that border the zygos) making the midface look fox-like as opposed to pancake

View attachment 4199878

Unlike protrusion/retrusion, 3Dness/flatness is an entirely aesthetic feature and has no bearing on health.

3Dness/flatness is closely related to the orbitomaxillary plane angle. More about that here:




Examples

View attachment 4199869

The gorilla maxilla shows the difference between forward-grownness and 3Dness. The gorilla maxilla is extremely forward-protruding, but it’s flat as fuck, literally flatter than an Asian maxilla:

View attachment 4199953

The human maxilla’s teeth are more retracted and tucked under the eyes, but the shape of the central maxilla is much less flat:

View attachment 4199961



Mew Cope

Mouth breathing and shit oral posture can make the maxilla grow improperly, but that has to do with positioning (protrusion/retrusion) only. Mewing from birth would’ve done absolutely nothing for your maxilla’s 3Dness/flatness.
great thread

I think I'm not flat but receded
 
  • +1
Reactions: mr007
damn wtf his nasal bridge is way lower than i thought he's still my glorious ethnic kang tho
Yeah unfortunately not even a Chang can escape his phenotypes flaws. I don’t think their is any Asian with a projected nose unless there half white
 
  • +1
  • So Sad
Reactions: bugeye, Reiatsu, thecel and 2 others
Yeah but his anterior zygos growth (lefort3 as you say ) makes him good looking that it gives a illusion of top tier maxilla
You still need a decent gap between your nose and your zygos, your anterior Zygos shoudlnt be as forwardlry projected as your nose. But since hes Asian he gets away with it, that’s just part of his pheno
 
  • +1
Reactions: thecel and mr007
Yeah unfortunately not even a Chang can escape his phenotypes flaws. I don’t think their is any Asian with a projected nose unless there half white
I think I have seen one posted here he was fully ea not mixed
 
You still need a decent gap between your nose and your zygos, your anterior Zygos shoudlnt be as forwardlry projected as your nose. But since hes Asian he gets away with it, that’s just part of his pheno
His nose very well projected
 
brutal looks like it is indeed over for u @shieldzz
 
  • JFL
Reactions: mr007
5276644 5017702 1749004880643
best maxilla? @thecel
 
  • +1
Reactions: thecel
  • +1
Reactions: thecel and Zenis
That's typical ea feature . So it's normal
Would you rather a underprojected radix like a EA or a overprojected one like a Jew/Arab
 
  • Hmm...
Reactions: mr007
Would you rather a underprojected radix like a EA or a overprojected one like a Jew/Arab
VEry difficult i genuinely don't know the answer. But as an average guy i think I'd rather be over projected.
But if I have option to look like haruma miura with underprojected radix or a jew chad with overprotected radix ( which is very hard but not impossible)I'd choose underprojected radix without a single thought
 
  • +1
Reactions: Zenis
VEry difficult i genuinely don't know the answer. But as an average guy i think I'd rather be over projected.
But if I have option to look like haruma miura with underprojected radix or a jew chad with overprotected radix ( which is very hard but not impossible)I'd choose underprojected radix without a single thought
an overprojected radix needs a stronger brow as well, without a projected glabella it makes the nose and forehead have that Digusting flat smooth connection if you know what I’m talking about
 
  • +1
Reactions: Sicilian Cyclops and mr007
Well done man. Your threads are the most informational on this forum.

I morphed Loli Bahia to have a semi-ideal maxilla. Literally goes from SL to GS.

Screenshot 2025 10 10 153640
1760308630520


Do you think projected upper maxilla is attractive on all races?

I just cant seem to understand why some phenotypes have a non-protruding upper maxilla, especially Asians. I wonder if it could be a genetic error, perhaps, because I've never seen a non projected upper maxilla look good on anyone, no matter the race.

1760309310185
1760309331047
1760309346885
1760309370571
1760309389968
1760309403070
1760309418717

(STOP CHANGING YOUR ALIAS IF YOU WANT ME TO REMEMBER WHO YOU ARE, Nucleargeo)
identity crisis :ogre:
 
  • +1
  • Woah
  • Love it
Reactions: \/orman, AscendingHero, Lookologist003 and 2 others
IMG 1347


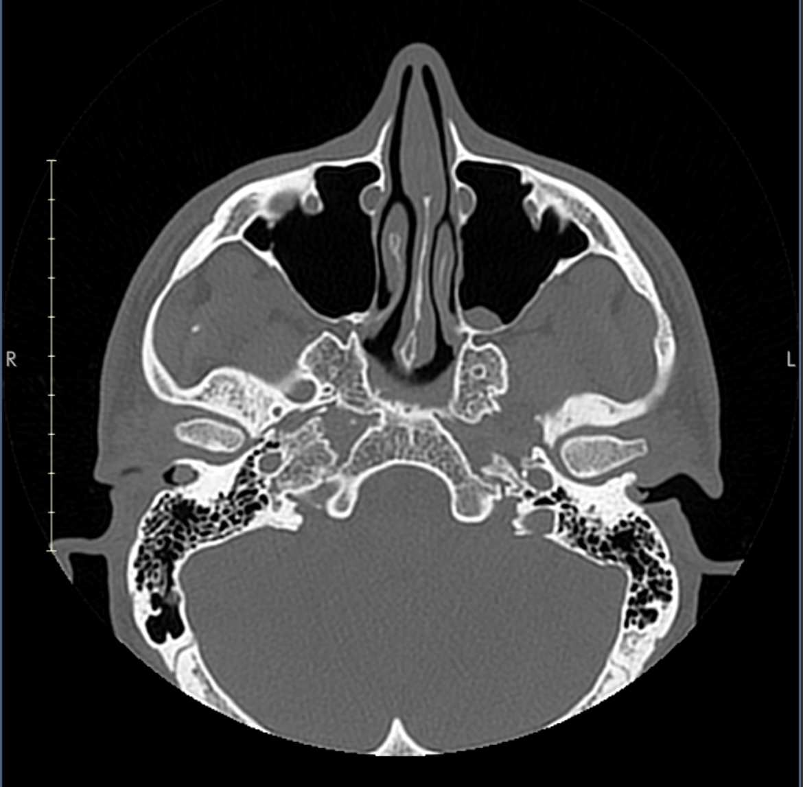
Looking at this slice through my zygos I think my maxilla is flat.
But comparing my side profile to your chart it seems not flat.

I might just be on the borderline for flat. I’m certainly recessed but it appears to be mostly in the lower maxilla as my anterior nasal spine is set back from my upper nasal bone.. I don’t see how Lefort 2 alone would be good here, it would have to be segmental 2 and 1 combined.

It also raises a question about infraorbital implants because unless you already have an exemplary “3D” maxilla, they are going to flatten it out even more. I’m not sure my face can support them at all without Lefort 2.

IMG 8131


Good thread.
 
  • +1
Reactions: bugeye, thecel, Lookologist003 and 3 others

Similar threads

Marlon67Zeta
Replies
6
Views
45
Albo_fraudd
Albo_fraudd
Francisco_Bs
Replies
6
Views
46
kisslessvirgin
kisslessvirgin
Nathan Fielder
Replies
1
Views
27
Petsmart
Petsmart
Outsidecel
Replies
8
Views
89
Tenres
Tenres
Veniamin Pupunin
Replies
17
Views
119
Veniamin Pupunin
Veniamin Pupunin

Users who are viewing this thread

Back
Top